Viêm chân răng có mủ là bệnh lý về răng miệng thường gặp và có thể xuất hiện các biến chứng nguy hiểm nếu không được điều trị kịp thời. Hãy cùng Docosan tìm hiểu nguyên nhân, triệu chứng và cách điều trị bệnh viêm chân răng có mủ trong bài viết sau đây nhé!
Tóm tắt nội dung
Chân răng có mủ là bệnh gì?
Viêm chân răng có mủ hay còn gọi là mủ chân răng là một tình trạng bệnh lý của chân răng hay nướu răng bị vi khuẩn tấn công dẫn đến nhiễm trùng hoặc vôi răng. Sự nhiễm trùng thường hình thành trên răng trước rồi lan xuống nướu dẫn đến viêm chân răng và tạo thành khoang mủ. Nếu mủ được giới hạn lại trong một bao có màng thì tình trạng này còn được gọi là áp xe răng.

Nếu bị viêm chân răng có mủ khiến bạn có thể phải chịu đựng các cơn đau nướu răng và răng với nhiều mức độ khác nhau, thậm chí đau nhiều đến cảm giác lan ra cả hàm, tai và cổ. Nếu không được điều trị kịp thời, chân răng bị viêm có mủ có thể trở thành một biến chứng sức khỏe răng miệng nghiêm trọng như gây nhiễm trùng máu, nguy hiểm đến tính mạng.
Nguyên nhân chân răng có mủ
Nguyên nhân chung
- Người bệnh chăm sóc vệ sinh răng miệng không đảm bảo tốt dẫn đến các vi khuẩn mảng bám trong khoang miệng theo thời gian sẽ tích tụ lại các kẽ hở chân răng, bao hay vách quanh răng gây nên viêm nướu răng và viêm mủ chân răng.
- Do nhiễm vi khuẩn hay virus bội nhiễm, các màng mềm bị kích thích sẽ phát triển mạnh tại các mảng bám và vi khuẩn kỵ khí, gram âm hoặc xoắn khuẩn gây nên những tổn thương phản ứng viêm quanh răng, lợi.
- Các bệnh lý về răng như răng bị mọc lệch, chấn thương khớp cắn, khớp thái dương hàm gây tổn thương đến răng lợi cũng là một nguyên nhân gây mưng mủ chân răng.

Nguyên nhân cơ địa
- Có một số người mắc phải tình trạng nội tiết tố thay đổi, đặc biệt là phụ nữ mang thai hoặc đang cho con bú, hay người mắc các bệnh ác tính về máu.
- Sức miễn dịch kém, khi môi trường bị ô nhiễm sẽ tăng sự xâm nhập và gây bệnh của vi khuẩn, từ đó tăng nguy cơ mắc bệnh lý viêm chân răng, nướu răng bị sưng, có mủ ở chân răng cũng như các bệnh lý về răng miệng khác sẽ cao hơn.
Triệu chứng chân răng có mủ
Triệu chứng chính của bệnh viêm chân răng có mủ là người bệnh có cảm giác đau nhói xảy ra ở chân răng và nướu bao quanh ổ phản ứng viêm. Cơn đau thường xuất hiện bất kỳ lúc nào (có thể tăng nhiều hơn về đêm) và có xu hướng trở nên trầm trọng hơn theo thời gian nếu không điều trị.
Các triệu chứng khác của viêm chân răng có mủ bao gồm:
- Cơn đau lan ra khắp hàm, đến cả tai hoặc cổ
- Cơn đau có xu hướng tồi tệ hơn khi bạn nằm nghiêng về bên có răng bị viêm
- Đau dữ dội khi nhai hoặc cắn
- Sưng mặt phía bên có răng bị viêm do mưng mủ ở chân răng tăng nhiều
- Nướu răng sưng to, đỏ, mềm và nóng hơn chỗ khác
- Răng trở nên nhạy cảm, ê buốt
- Có cảm giác răng bị nhạy cảm cao hơn những chiếc răng còn lại
- Răng đổi màu ngà hoặc cảm giác bị lung lay
- Hơi thở có mùi hôi, miệng có vị tanh của máu
- Hạch bạch huyết ở cổ hoặc dưới hàm trở nên mềm và sưng to
- Sốt, mạch nhanh.

Nếu ổ mủ ở chân răng viêm bị vỡ, người bệnh sẽ cảm thấy tình trạng đau giảm đi rất nhiều, thậm chí là thấy nhẹ nhõm cái răng đó hẳn. Ngoài ra, còn có thể nhận thấy mùi tanh của máu và vị mặn của mủ đang lan ra trong miệng khi ổ mủ vừa vỡ.
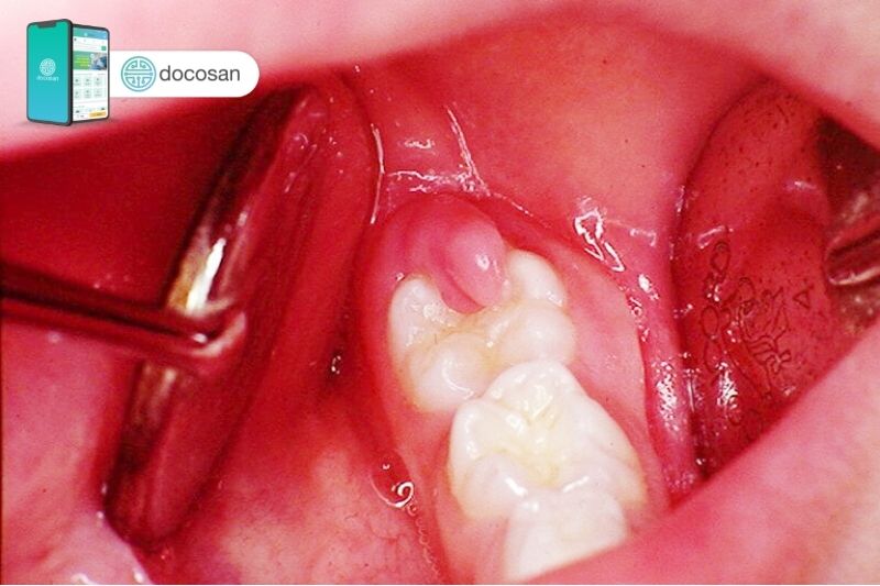
Các dạng viêm chân răng có mủ
Viêm chân răng có mủ có các biểu hiệu chung như trên, nhưng khi bác sĩ nha khoa khám và đánh giá sẽ chia tình trạng bệnh thành 3 dạng cơ bản và tùy thuộc vào vị trí có phản ứng viêm:
- Viêm quanh chóp răng: Đây là một viêm chỉ xảy ra xung quanh ở đầu chân răng. Nguyên nhân là do vi khuẩn xâm nhập vào tủy răng thông qua một lỗ thông nhỏ trên chóp răng và gây viêm.
- Viêm nha chu (còn gọi là viêm xung quanh răng): Đây là một dạng viêm lan rộng xảy ra trên nướu, dây chằng và xương ổ răng. Viêm nha chu cũng có thể là hậu quả xảy ra sau một tác động của chấn thương. Tình trạng này nếu không được điều trị kịp thời có thể viêm lan đến các mô và xương xung quanh chân răng.
- Viêm nướu: Viêm nướu xảy ra khi nướu bao quanh chân răng bị viêm khiến nướu sưng to, đau đớn và có mủ. Nguyên nhân gây viêm nướu có thể là do bị tổn thương bởi dị vật như xương cá, vỏ của bỏng ngô, lông bàn chải đánh răng bị cứng,… găm vào hoặc thói quen dùng tăm hoặc sơ suất khi dùng chỉ tơ nha khoa vệ sinh răng miệng gây tổn thương nướu.

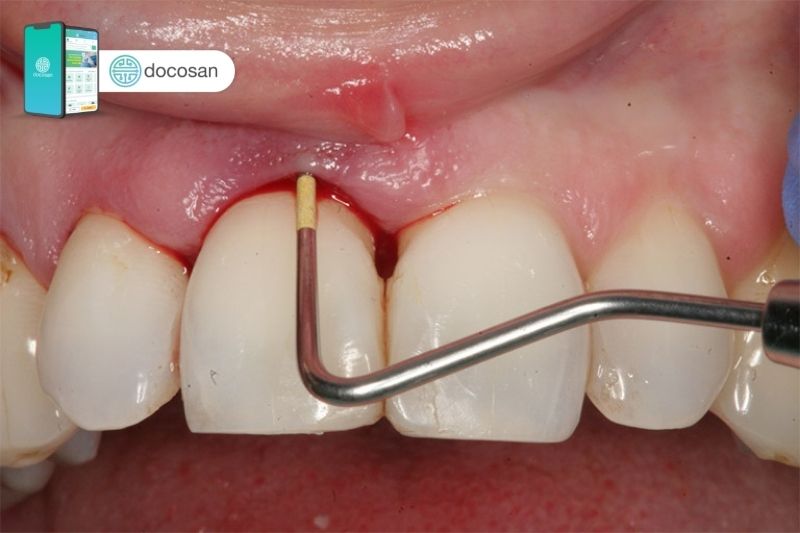
Điều trị viêm chân răng có mủ
Để chữa chân răng có mủ, các nha sĩ thường tập trung vào việc làm sạch vị trí bị nhiễm trùng và giảm viêm, sưng nóng đỏ đau. Tùy thuộc vào triệu chứng và sự lan rộng của phản ứng viêm mà nha sĩ có thể đề nghị người bệnh chụp X-quang nhằm xác định vị trí và đánh giá tổn thương các khu vực lân cận có bị lây nhiễm chưa để có thể can thiệp kịp thời. Các phương pháp điều trị tình trạng viêm chân răng có mủ bao gồm:
- Dẫn lưu ổ mủ: Nha sĩ sẽ thực hiện một vết cắt nhỏ lên vị trí chân răng bị viêm để dẫn lưu dịch mủ ra ngoài. Sau đó, họ sẽ tiến hành làm sạch khu vực chân răng bị viêm nhằm ngăn ngừa tình trạng viêm lây nhiễm ra xung quanh.
- Lấy tủy răng: Tủy răng là phần mềm bên trong của răng chưa dồi dào các dây thần kinh, mô liên kết và mạch máu. Nha sĩ thường sẽ tiến hành lấy tủy răng nhằm giữ lại những chiếc răng có chân bị viêm nặng, bằng cách khoan một lỗ nhỏ trên răng rồi tiến hành loại bỏ dây thần kinh. Bên trong răng bị lấy tủy sẽ được làm sạch sẽ trước khi trám lại hoặc bọc răng sứ.
- Nhổ răng: Nếu tình trạng viêm quá nghiêm trọng khiến răng bị hư hỏng nặng, nha sĩ có thể chỉ định bạn nhổ bỏ răng rồi mới tiến hành làm sạch ổ viêm.
- Uống thuốc kháng sinh: Nếu phần viêm ở chân răng đã lan rộng ra xung quanh hoặc hệ miễn dịch không đủ khả năng chống lại tình trạng nhiễm khuẩn, nha sĩ sẽ kê đơn thuốc kháng sinh cho bạn dùng.
- Tiểu phẫu loại bỏ dị vật: Nếu tình trạng viêm chân răng của bạn là do dị vật (xương cá, lông bàn chải…) gây ra, nha sĩ sẽ tiến hành tiểu phẫu để lấy nó ra. Sau đó, họ tiến hành làm sạch chân răng bị viêm và sử dụng thuốc kèm thêm.

Bài viết trên đây, Docosan đã giới thiệu nguyên nhân, triệu chứng và cách điều trị viêm chân răng có mủ có thể giúp các bạn tham khảo. Tuy nhiên nếu xuất hiện các dấu hiệu biểu hiện của bệnh thì bạn cần đến gặp bác sĩ chuyên khoa để khám và tầm soát càng sớm càng tốt, để chữa trị dứt điểm bệnh và không để lại biến chứng răng miệng nào.
Bài viết được tham khảo từ bác sĩ và các nguồn tư liệu đáng tin cậy trong và ngoài nước. Tuy nhiên, Docosan Team khuyến khích bệnh nhân hãy tìm và đặt lịch hẹn với bác sĩ có chuyên môn để điều trị.
