Viêm tuyến bartholin là bệnh phụ khoa đang được sự quan tâm nhiều của các chị em vì ảnh hưởng của bệnh đến sinh hoạt,cuộc sống, sức khỏe, quan hệ vợ chồng. Bên cạnh các bệnh phụ khoa phổ biến như viêm âm đạo, viêm tử cung thì viêm tuyến Bartholin cũng cần được quan tâm đúng vì nó ảnh hưởng đến khả năng làm vợ, làm mẹ của người phụ nữ. Hãy cũng Docosan tìm hiểu về căn bệnh phụ khoa này trong bài viết sau đây nhé!
Tóm tắt nội dung
- 1 Viêm tuyến Bartholin là bệnh gì?
- 2 Hình ảnh viêm tuyến bartholin
- 3 Nguyên nhân gây bệnh viêm tuyến bartholin
- 4 Triệu chứng của bệnh viêm tuyến bartholin có nguy hiểm không?
- 5 Chẩn đoán bệnh Viêm tuyến bartholin
- 6 Cách điều trị viêm tuyến bartholin
- 7 Câu hỏi thường gặp
- 7.1 Viêm tuyến bartholin có tự khỏi?
- 7.2 Mổ viêm tuyến bartholin bao lâu thì khỏi?
- 7.3 Viêm tuyến bartholin kiêng quan hệ bao lâu?
- 7.4 Sau khi mổ viêm tuyến bartholin kiêng quan hệ bao lâu?
- 7.5 Viêm tuyến bartholin có nguy hiểm không?
- 7.6 Bị viêm tuyến bartholin kiêng ăn gì?
- 7.7 Bị viêm tuyến bartholin nên ăn gì?
Viêm tuyến Bartholin là bệnh gì?
Tuyến bartholin hay nang bartholin là tuyến nằm ở ngay dưới da 2 bên âm đạo của người phụ nữ nên thuộc cơ quan sinh dục ngoài, tuyến nằm ở giữa môi lớn và môi bé có lỗ đổ vào khe giữa hai môi này.
Tuyến bartholin có chức năng là tiết ra dịch nhầy giúp giữ ẩm, bôi trơn bảo vệ thành âm đạo và âm hộ, đặc biệt giúp quá trình quan hệ tình dục dễ dàng… Bên cạnh đó, tuyến này còn giúp ngăn cản sự xâm nhập của vi khuẩn bên ngoài vào bên trong âm đạo.Tuyến sẽ hoạt động mạnh ở độ tuổi dậy thì và sinh đẻ.
Viêm tuyến bartholin là bệnh lý xảy ra ở người phụ nữ bị nhiễm khuẩn ở cơ quan sinh dục ngoài: âm hộ, môi lớn, môi bé… dẫn đến vi khuẩn xâm nhập vào nang tuyến bên trong gây phản ứng viêm đặc trưng của bệnh. Vì một vài nguyên nhân, nang tuyến bartholin bị tắc nghẽn dẫn đến việc hình thành các u nang. Các u nang này nếu không được điều trị sớm có thể viêm nhiễm, tạo mủ, vỡ ra.
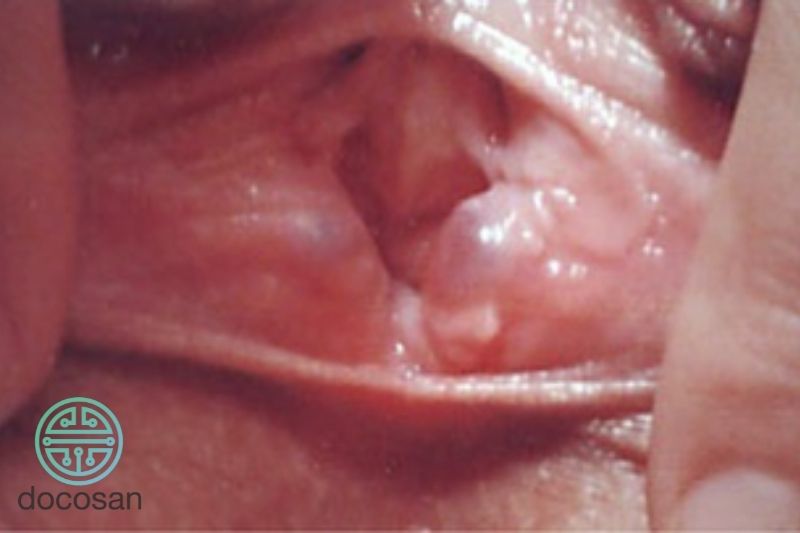
Hình ảnh viêm tuyến bartholin
Nguyên nhân gây bệnh viêm tuyến bartholin
Nguyên nhân gây viêm tuyến Bartholin là do các ống tuyến bị tắc nghẽn trong khi tuyến vẫn tiết ra chất nhầy, khiến cho tắc nghẽn dịch tiết âm đạo trong tuyến. Nguồn gốc khiến cho ống tuyến bị tắc nghẽn lại là do:
Nhiễm trùng cơ quan sinh dục nữ
- Quan hệ tình dục không an toàn, không sử dụng bao cao su, quan hệ tình dục với nhiều người
- Vệ sinh đường sinh dục kém, không sạch sẽ
- Nhiễm khuẩn từ âm đạo, âm hộ, đường tiết niệu di chuyển vào tuyến bartholin
- Mất cân bằng hệ sinh thái vi sinh vật trong âm đạo, âm hộ (có thể do sử dụng kháng sinh kéo dài … )
Các chủng vi khuẩn gây Viêm tuyến bartholin thường có đường lây qua đường tình dục như Lậu, Giang mai, Chlamydia, E.Coli, …
Chấn thương đường sinh dục
Các tai nạn nghề nghiệp hay tai nạn giao thông làm va đập mạnh vào vùng kín của người phụ nữ có thể tạo điều kiện cho vi khuẩn xâm nhập gây bệnh.
Mức độ chấn thương nặng nề quyết định sự phát triển mạnh mẽ của bệnh, và có thể kèm theo nhiều biến chứng khác như vỡ âm đạo, dập âm hộ …
Tắc ống dẫn tuyến Bartholin
Đôi khi tình trạng tắc ống dẫn tuyến vô căn gây ứ đọng dịch tiết trong nang bartholin dẫn đến phản ứng viêm trước rồi vi khuẩn mới xâm nhập gây bệnh sau đó. Có thể gây biến chứng áp xe tuyến bartholin khiến viêm tuyến bartholin bị vỡ
Triệu chứng của bệnh viêm tuyến bartholin có nguy hiểm không?
Viêm tuyến bartholin cấp tính
- Cảm giác âm đạo đau nhức, căng tức và nóng rát
- Có thể thấy âm đạo chảy dịch bất thường kèm mùi hôi tanh, sau đó giảm đau
- Âm hộ sưng to, nóng đỏ và đau rát khi chạm tay vào hay quan hệ tình dục
- Sờ thấy một khối nhỏ sưng đỏ, ấn đau trên môi lớn hoặc môi bé
- Biểu hiện toàn thân như: sốt, mệt mỏi, ăn uống kém …
Viêm tuyến bartholin cấp thoái lui thành mạn tính
- Âm đạo đau âm ỉ kéo dài, hết dần cảm giác căng, nóng
- Hết chảy dịch bất thường nhưng có thể bị tái diễn lại nhiều lần lượng ít
- Đau đớn, khó chịu khi quan hệ tình dục do thành âm đạo bị khô
- Hình thành ổ áp xe: sờ thấy khối cứng chắc gây đau dữ dội giữa hai môi lớn và bé
- Toàn thân uể oải, cảm giác ớn lạnh kéo dài …
Tùy theo mức độ phản ứng viêm mà bệnh có thể nguy hiểm đến nhiều vấn đề
Viêm tuyến bartholin có thể tự khỏi, không gây ảnh hưởng hay nguy hiểm đến sức khỏe của người phụ nữ nếu được phát hiện sớm, điều trị kịp thời. Tuy nhiên cũng có những trường hợp, tình trạng bệnh biến chứng nghiêm trọng dẫn đến vô sinh.
- Gây khó chịu đến sinh hoạt hàng ngày: khiến phụ nữ mệt mỏi, tự ti, ngại tiếp xúc, gần gũi với bạn tình, không thể tập trung trong công việc, chất lượng cuộc sống cũng như đời sống quan hệ vợ chồng giảm sút.
- Ảnh hưởng đến đời sống tình dục: Viêm tuyến bartholin làm chức năng tiết ra dịch nhầy giảm, ngừng hoạt động khiến quá trình quan hệ tình dục khó khăn, khô rát, đau…dễ làm rạn nứt tình cảm vợ chồng.
- Tác động tới chức năng sinh sản của người phụ nữ: viêm tuyến bartholin cản trở tinh trùng vào sâu bên trong tử cung, buồng trứng để thụ thai, tăng nguy cơ vô sinh, hiếm muộn
- Tiền đề cho Ung thư phụ khoa sau này
- Nếu bệnh nặng kéo dài có thể đe dọa đến tính mạng.
Chẩn đoán bệnh Viêm tuyến bartholin
Để chẩn đoán chính xác cũng như tình trạng viêm tuyến bartholin, ngay khi có triệu chứng, phụ nữ cần thăm khám bác sĩ sản phụ khoa để có thể điều trị sớm.Việc xác định bệnh chủ yếu dựa vào những than phiền của người phụ nữ đi khám bệnh kết hợp với khám phụ khoa của bác sĩ chuyên khoa.
Điều chú ý là đây là bệnh lý thầm kín nên người bệnh cần khai báo kỹ lưỡng, không che giấu và phải có sự giải thích hợp lý trước khi bác sĩ thực hiện thăm khám.
Cách điều trị viêm tuyến bartholin
Dùng thuốc nội khoa
- Thuốc kháng sinh: là quan trọng để tiêu diệt vi khuẩn gây bệnh
- Thuốc giảm đau – kháng viêm: kiểm soát triệu chứng và biến chứng của bệnh
Nhiều trường hợp cần được bác sĩ đánh giá xem có cần cho bạn tình uống thuốc không, để hạn chế tái phát bệnh dai dẳng.
Ngoại khoa kết hợp dùng thuốc
Đối với bệnh viêm tuyến bartholin bị sưng to, tiến triển nặng, có thể hình thành ổ áp xe, nang cứng, nhiễm trùng nặng cần phải được bác sĩ thực hiện tiểu phẫu để chữa trị bệnh.
Tùy vào tình trạng viêm tuyến bartholin, cơ sở khám chữa bệnh mà chi phí mổ viêm tuyến bartholin sẽ khác nhau. Một vài địa chỉ bạn có thể tham khảo như:
Điều trị tại nhà
Cả hai phương pháp nội và ngoại khoa đều cần người phụ nữ phải kết hợp với các cách bảo vệ đường sinh dục tại nhà giúp viêm tuyến bartholin có thể tự khỏi đồng thời giúp hạn chế tình trạng viêm tuyến bartholin:
- Vệ sinh âm hộ, âm đạo đúng cách và thường xuyên, giữ gìn vùng kín luôn sạch sẽ bằng cách sử dụng dung dịch vệ sinh dịu nhẹ, an toàn. Bạn có thể tham khảo ý kiến bác sĩ chuyên khoa về một loại dung dịch vệ sinh phù hợp. Lưu ý, chỉ vệ sinh nhẹ nhàng ở vùng ngoài, không được thụt rửa sâu trong âm đạo.
- Sau khi vệ sinh xong, cần lau khô giữ cho bộ phận sinh dục khô ráo, thay đồ lót thường xuyên, nên chọn những loại vải khô thoáng, mềm mịn tránh cho vi khuẩn tồn tại và phát triển gây ra bệnh
- Hạn chế quan hệ tình dục đến khi hết bệnh, nếu có phải đảm bảo an toàn, quan hệ lành mạnh, sử dụng bao cao su khi quan hệ tránh tình trạng viêm nhiễm cũng như các bệnh lây qua đường tình dục
- Tắm hoặc chườm cơ thể và cơ quan sinh dục bằng nước ấm
- Chế độ ăn uống khoa học hợp lý, nghỉ ngơi đầy đủ, tăng sức đề kháng không chỉ tốt cho sức khỏe mà còn giúp ngăn ngừa vi khuẩn gây viêm tuyến bartholin.
- Chế độ ăn cần đầy đủ chất dinh dưỡng, vitamin, bổ sung thêm rau xanh, hoa quả, sữa chua…nhằm tăng sức đề kháng cho cơ thể, hỗ trợ ngăn ngừa sự xuất hiện và phát triển của vi khuẩn gây bệnh.
- Không ăn những thực phẩm cay nóng, nhiều dầu mỡ, các loại thức uống có cồn như rượu bia, chất kích thích như thuốc lá, cà phê…khiến tình trạng viêm nhiễm nặng hơn, vết thương khó lành, gây đau đớn, suy yếu hệ thống miễn dịch.
- Tập luyện những bài tập thể dục thể thao nhẹ nhàng, có chế độ nghỉ ngơi phù hợp: không thức khuya, hạn chế hoạt động quá mạnh, làm việc nặng nhọc…
- Giữ tinh thần luôn thoải mái, lạc quan, tránh xa những áp lực, không nên tự ti, mặc cảm về tình trạng bệnh của bản thân
- Tránh những hành động tác động chấn thương đến cơ quan sinh dục.
- Tuyệt đối không gãi vùng viêm nhiễm vì có thể khiến tình trạng viêm nặng hơn.
- Khi có dấu hiệu viêm nhiễm hoặc bất thường ở vùng kín, bạn cần đi khám bác sĩ chuyên khoa để kiểm tra, chẩn đoán cũng như có phương pháp điều trị phù hợp, tránh để lâu gây ra những biến chứng nguy hiểm.
- Duy trì thói quen đi khám sức khỏe định kỳ nhất là sức khỏe sản phụ khoa để phát hiện sớm tình trạng bệnh ở giai đoạn đầu. Bởi bệnh viêm tuyến bartholin có thể tự khỏi nếu tình trạng bệnh chưa nặng, có phương pháp điều trị kịp thời.
Viêm tuyến Bartholin là bệnh phụ khoa có thể nguy hiểm và để lại di chứng nặng nề. Nếu có các dấu hiệu của bệnh cần đến gặp ngay bác sĩ chuyên Phụ khoa uy tín. Phát hiện và áp dụng các phương pháp điều trị bệnh có hiệu quả càng sớm càng tốt sẽ đem lại sức khỏe sinh sản và đời sống tốt đẹp cho người phụ nữ.
Câu hỏi thường gặp
Viêm tuyến bartholin có tự khỏi?
bệnh viêm tuyến Bartholin có thể điều trị được, thậm chí nó còn có thể tự biến mất nếu được bác sĩ phát hiện sớm nhất là trong trường hợp nang tuyến chưa phát triển lớn, chưa xuất hiện triệu chứng.
Mổ viêm tuyến bartholin bao lâu thì khỏi?
Sau khi mổ nang tuyến bartholin, cơ thể cần một khoảng thời gian để hồi phục, ít nhất là 1 tuần. Thời gian hồi phục phụ thuộc vào nhiều yếu tố như: tình trạng viêm, sức khỏe cũng như sức đề kháng, khả năng hồi phục của người bệnh, tay nghề bác sĩ, phương pháp điều trị…
Viêm tuyến bartholin kiêng quan hệ bao lâu?
Nên kiêng quan hệ khi bị viêm tuyến bartholin để việc điều trị đạt hiệu quả tốt nhất. Quan hệ tình dục trong thời gian này, sẽ tạo điều kiện thuận lợi cho vi khuẩn xâm nhập vào cơ quan sinh dục của nữ giới cũng như bạn tình, làm giảm khả năng sinh sản, gây sưng tấy có mủ, áp xe. Nếu khi bệnh có dấu hiệu thuyên giảm, bạn có nhu cầu quan hệ tình dục, hãy tham khảo ý kiến của bác sĩ chuyên khoa để có tư vấn phù hợp với tình trạng bệnh của bản thân.
Sau khi mổ viêm tuyến bartholin kiêng quan hệ bao lâu?
Sau khi mổ viêm tuyến bartholin, việc kiêng quan hệ tình dục là rất quan trọng, nếu không bệnh sẽ rất dễ tái phát. Người bệnh chỉ nên quan hệ vào thời gian ít nhất là 1 tháng sau phẫu thuật, khi đó sức khỏe của bạn đã hồi phục. Tốt nhất, bạn nên tham khảo ý kiến của bác sĩ điều trị vì họ có lịch trình cũng như biết rõ nhất tình trạng viêm nhiễm, hồi phục của bạn.
Viêm tuyến bartholin có nguy hiểm không?
Nếu không được điều trị kịp thời, đúng cách, nếu để lâu viêm tuyến bartholin có thể là nguyên nhân gây ra tình trạng vô sinh – hiếm muộn ở phụ nữ
Bị viêm tuyến bartholin kiêng ăn gì?
Bị viêm tuyến bartholin không nên ăn các loại thực phẩm cay nóng , dầu mỡ, muối chua, các chất kích thích như rượu, bia, thuốc lá, cà phê…vì chúng khiến cho tình trạng viêm nhiễm nặng hơn, gây đau đớn, vết thương khó lành
Bị viêm tuyến bartholin nên ăn gì?
Viêm tuyến bartholin nên ăn các thực phẩm giàu vitamin C (cam, nho, ổi, xoài…), thực phẩm kháng khuẩn mạnh (tỏi, sữa chua, mật ong, nghệ, gừng…), giàu chất sắt (gan, thịt đỏ, bông cải xanh, các loại đậu…), chất xơ (lê, bơ, táo, chuối, cà rốt…)…giúp tăng cường hệ thống miễn dịch, chống lại các tác nhân nhiễm bệnh, hạn chế tình trạng viêm nhiễm.
Cảm ơn bạn đã dành thời gian để đọc và tìm hiểu Viêm tuyến bartholin: 3 nguyên nhân chính gây bệnh mà chị em cần biết tại Docosan. Chúng tôi rất vinh hạnh chào đón và nhận được sự tín nhiệm từ các bạn.
Bài viết được tham khảo từ bác sĩ và các nguồn tư liệu đáng tin cậy trong và ngoài nước. Tuy nhiên, Docosan Team khuyến khích bệnh nhân hãy tìm và đặt lịch hẹn với bác sĩ có chuyên môn để điều trị.
