Để trả lời cho câu hỏi người bọc răng sứ có tẩy trắng được không và cách tẩy như thế nào, hãy cùng Docosan tìm hiểu về bản chất của việc tẩy trắng răng trên người bình thường trong bài viết dưới đây nhé!
Tóm tắt nội dung
Bản chất của phương pháp tẩy trắng răng
Về cơ bản, tẩy trắng răng là phương pháp thẩm mỹ cho răng miệng, giúp răng ố vàng, xỉn màu trở nên trắng và sáng bóng. Có một hàm răng trắng không chỉ tô điểm thêm vẻ đẹp của gương mặt mà còn giúp bạn tự tin hơn khi giao tiếp với mọi người từ đó tạo nên niềm vui trong cuộc sống và làm việc hiệu quả hơn.
Ngoài ra, tẩy trắng răng còn loại bỏ tình trạng nhiễm màu trên răng kéo dài giúp men răng chắc khoẻ hơn và phòng tránh những vấn đề khác về răng miệng.
Khi phảt hiện răng ố vàng, xỉn màu, nhiều người thường chọn phương pháp tẩy trắng răng nhưng không phải ai cũng biết bản chất của phương pháp này là gì? Cũng như tẩy trắng răng có an toàn không, tẩy trắng xong răng sẽ trắng được bao lâu và đặc biệt là những người bọc răng sứ có tẩy trắng được không?
Trả lời cho câu hỏi đầu tiên, bản chất của phương pháp tẩy trắng răng là sử dụng thuốc đặt trên bề mặt răng gây phản ứng oxy hóa khử nhằm cắt đứt các chuỗi protein tạo màu giúp cho răng trắng sáng hơn dưới ánh sáng tự nhiên.
Tẩy trắng răng có an toàn không? Phương pháp tẩy trắng răng không làm ảnh hưởng đến bất cứ yếu tố nào cấu tạo nên răng hay làm tổn thương bề mặt men răng. Tuy nhiên, để đảm bảo độ an toàn và hiệu quả của việc tẩy trắng răng, hãy lựa chọn những địa chỉ nha khoa uy tín hay nha sĩ có trình độ tay nghề tốt.
Bình thường hiệu quả tẩy trắng có thể kéo dài từ vài tháng lên đến vài năm và cũng còn tuỳ thuộc vào phương pháp tẩy trắng răng và chăm sóc răng miệng sau tẩy trắng.
Các phương pháp tẩy trắng răng thông thường:
Phương pháp tẩy trắng răng bằng laser tại phòng khám
Đây là phương pháp tẩy trắng răng nhanh chóng được thực hiện tại phòng khám, chỉ cần khoảng 60 phút bạn đã có ngay hàm răng trắng sáng, ít gây ê buốt. Mặt ngoài các răng được phủ thuốc tẩy mục đích giải phóng các chất oxy hóa khử. Nồng độ thuốc sử dụng cao hay thấp tùy thuộc vào men răng và mức độ trắng sáng của từng người. Sau đó tất cả các răng đều được chiếu sáng laser, laser có tác dụng kích hoạt giúp răng trắng sáng.
Phương pháp tẩy trắng răng tại nhà
Đối với phương pháp này nha sĩ sẽ khám và tiến hành lấy dấu răng để ép một bộ máng mềm, trong suốt theo cung hàm của bạn. Sau đó bác sĩ sẽ giao cho bạn bộ máng này và hướng dẫn bạn cách tẩy trắng tại nhà. Phương pháp này sẽ cần hơn một tuần để phát huy hiệu quả hoặc bạn có thể kết thúc sớm hơn nếu bạn hài lòng với độ trắng. Một lợi ích của phương pháp này là giá thành rẻ, phù hợp cho người không đủ điều kiện để tẩy trắng răng bằng laser.

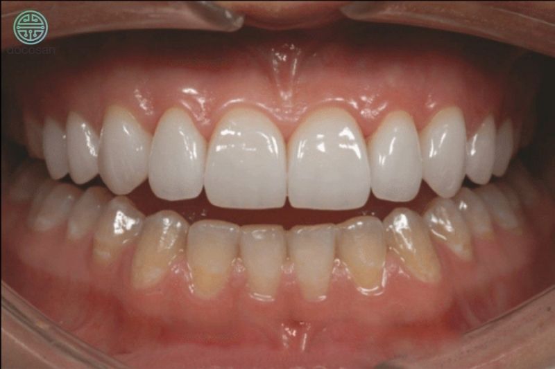
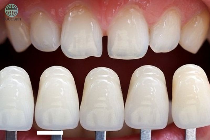
Bọc răng sứ có tẩy trắng được không?
Để trả lời cho câu hỏi bọc răng sứ có tẩy trắng được không, chúng ta phải biết rằng thuốc tẩy trắng chỉ có tác dụng với mô răng thật, còn răng sứ không có cấu tạo men răng, ngà răng như mô răng thật. Do đó, đối với các răng bọc sứ, trám thẩm mỹ hay đeo hàm giả tháo lắp thì thuốc tẩy trắng không có tác dụng lên chúng được.
Vì vậy câu trả lời cho bọc răng sứ có tẩy trắng được không là không, tẩy trắng răng sứ sẽ không có hiệu quả.
Trong trường hợp răng sứ bị viền nướu chuyển màu đen hoặc mặt sứ mất độ bóng, bạn nên hỏi ý kiến bác sĩ để tìm cách giải quyết phù hợp. Đa số trường hợp răng sứ bị đen viền nướu hay răng sứ ố vàng (do chất lượng vật liệu kém) sẽ chỉ định làm lại răng sứ khác.
Nguyên nhân chính gây ra tình trạng răng sứ bị ố vàng sau một thời gian sử dụng là:
- Chất liệu tạo nên răng sứ kém chất lượng. Nếu bạn sử dụng răng sứ kim loại thì sau một thời gian sử dụng, những axit có trong khoang miệng sẽ oxy hóa lớp sườn kim loại gây sỉn màu chân răng, do đó ngày nay người ta ít lựa chọn phương pháp này.
- Do kỹ thuật chế tạo không chính xác. Thường xảy ra đối với các phòng khám sử dụng công nghệ bọc răng sứ cũ. Làm cho răng sứ không giữ được tính ổn định của màu sắc sau một thời gian sử dụng.
- Để trồng răng sứ có hiệu quả trắng như răng thật và lâu dài, không xuất hiện viền đen hay ố vàng thì bạn nên chọn cho mình một địa chỉ nha khoa uy tín và chất lượng để bạn có thể hạn chế được các vấn đề về răng miệng.
- Chế độ chăm sóc răng miệng kém như không đánh răng thường xuyên, sử dụng nhiều thuốc lá,…

Chăm sóc răng sứ sau khi bọc đúng cách
Như bạn đã biết, câu trả lời cho câu hỏi bọc răng sứ có tẩy trắng được không là không. Do đó nếu đang sử dụng răng sứ ta nên có chế độ chăm sóc răng thích hợp để tránh làm hư hại răng và phát sinh nhiều vấn đề khác. Răng sứ cũng cần phải có chế độ chăm sóc và bảo vệ tốt giống như răng thật. Việc chăm sóc, vệ sinh răng sứ không kỹ lưỡng có thể dẫn đến hậu quả xấu như:
- Về sứ: sứ bể, mẻ, đổi màu.
- Về răng, nướu: răng ê buốt, nướu sưng nề, viêm nhiễm, chảy máu, tụt nướu.
- Gây bệnh răng miệng: vệ sinh không đúng cách tạo cơ hội cho vi khuẩn xâm nhập gây các bệnh răng miệng như sâu răng, viêm tuỷ,…
- Hôi miệng.
Sau khi bọc sứ, để giữ được màu sắc cũng như độ bền chắc của sứ được dài lâu, bạn cần thực hiện chế độ chăm sóc răng miệng đúng cách, theo chỉ dẫn của nha sĩ như:
- Chải răng đúng cách, bằng bàn chải lông mềm ít nhất 2 lần/ngày;
- Nên súc miệng bằng nước súc miệng mỗi ngày;
- Dùng chỉ nha khoa làm sạch kẽ răng;
- Hạn chế ăn thực phẩm cứng, dai và chứa phẩm màu.
- Tái khám ít nhất 6 tháng/lần hoặc khi xảy ra vấn đề răng miệng để kiểm tra tình trạng răng sứ và sức khỏe răng miệng để phát hiện sớm vấn đề và chữa trị kịp thời.

Cám ơn bạn đã tìm đọc bài viết “Bọc răng sứ có tẩy trắng được không, tẩy như thế nào?”. Mong rằng bạn đã tìm được câu trả lời thoả đáng cho những thắc mắc của mình. Nếu gặp phải các vấn đề răng miệng như trên, hãy tới gặp nha sĩ uy tín sớm để được chẩn đoán và điều trị đúng cách.
Nguồn tham khảo: NHS
