Cách trị sưng nướu răng tại nhà hiện đang là mối quan tâm hàng đầu của nhiều người vì ngày càng có nhiều người mắc phải tình trạng viêm sưng nướu răng. Vậy có những cách trị sưng nướu răng trong cùng tại nhà nào đơn giản mà lại hiệu quả hay không? Hãy cùng Doctor có sẵn tìm hiểu trong bài viết dưới đây!
Tóm tắt nội dung
Tổng quan về bệnh sưng nướu răng
Sưng nướu răng là một bệnh lý tương đối nhẹ và có thể điều trị khỏi hoàn toàn. Ngược lại, nếu tình trạng sưng nướu răng không được điều trị, dần dần sẽ gây đau nhức nhiều hơn và nó này ảnh hưởng tương đối nghiêm trọng đến cả sức khỏe lẫn tinh thần của người bệnh, cũng như cuộc sống của họ.
Vì thế nếu vô tình phát hiện những biểu hiện sưng nướu răng của cơ thể, bạn không nên thờ ơ và chủ quan. Ngoài ra, bạn cũng nên trang bị cho bản thân các kiến thức cơ bản về chăm sóc sức khỏe răng miệng để nhận biết và điều trị kịp thời bệnh sưng nướu răng.
Xem thêm: Chữa viêm chân răng có mủ tại nhà
Định nghĩa
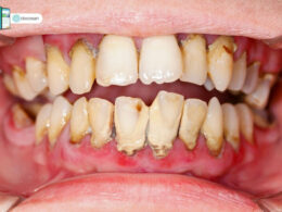
Sưng nướu răng (còn gọi là viêm lợi), là bệnh lý răng miệng phổ biến với tất cả mọi lứa tuổi. Khi bị sưng nướu răng, xung quanh nướu sẽ xuất hiện các vết sưng đỏ, dễ chảy máu khi chịu tác động cơ học như khi chải răng hoặc nhai thức ăn. Ngoài ra, ở nơi vùng nướu bị sưng thì răng trở nên nhạy cảm hơn, dễ lung lay do tình trạng sưng nướu răng làm phần chân răng bị lỏng lẻo, nếu không được điều trị kịp thời có thể phải nhổ chiếc răng đó đi.
Việc điều trị sưng nướu răng không phải là quá phức tạp, nhất là khi phát hiện bệnh sớm sẽ dễ dàng điều trị hơn rất nhiều vì giai đoạn mới mắc bệnh thì các triệu chứng còn ở mức độ nhẹ, cũng như mức độ tổn thương nướu răng chưa đáng kể.
Nguyên nhân
Thống kê cho thấy phần lớn bệnh nhân sưng nướu răng không chăm sóc sức khỏe răng miệng 1 cách đúng đắn và đều đặn. Ngoài ra, thói quan không chải răng kỹ lưỡng và đúng cách sau khi ăn uống sẽ khó loại bỏ những mảnh thức ăn bám ở kẽ răng, tạo điều kiện thuận lợi cho vi sinh vật sinh sôi và lâu ngày sẽ gây sưng nướu răng.
Bên cạnh đó, đối tượng có cơ địa hệ miễn dịch suy yếu như tiểu đường, ung thư,… cũng dễ bị sưng nướu răng hơn những người bình thường khác. Những hóa chất độc hại có trong thuốc lá cũng làm những người hút thuốc lá dễ mắc bệnh sưng nướu răng hơn. Khi nồng độ nội tiết tố của cơ thể bị thay đổi như trong thời kỳ mang thai, khiến sức khỏe toàn thể cũng bị ảnh hưởng, sẽ dễ bị sưng nướu răng hơn.
Xem thêm: Sưng nướu răng trong cùng hàm dưới: Nguyên nhân và điều trị
Cách trị sưng nướu răng tại nhà
Dưới đây là một số cách trị sưng nướu răng tại nhà hiệu quả và đơn giản nhất:
Nước muối NaCl 0.9%

Nước muối NaCl 0.9% có tác dụng sát khuẩn, ngoài ra có thể hỗ trợ loại bỏ những mảnh thức ăn nhỏ bám ở kẽ răng mà khi chải răng bệnh nhân có thể bỏ sót. Vì thế tập luyện thói quen súc miệng bằng nước muối NaCl 0.9% mỗi ngày, ngay sau khi chải răng được xem là 1 cách trị sưng nướu răng tại nhà vừa đơn giản vừa hiệu quả mà bạn có thể áp dụng ngay bây giờ.
Trà túi lọc
Một cách trị sưng nướu răng tại nhà khác cũng hiệu quả không kém đó là sử dụng trà túi lọc. Hoạt chất tannin của trà cũng tương tự như những polyphenol khác, có tác dụng kháng khuẩn và chống oxy hóa, có thể áp túi trà lên vùng nướu đang bị tổn thương trong vòng 5 – 10 phút có thể cải thiện tương đối tình trạng sưng nướu răng của bạn.
Mật ong

Mật ong ngoài vai trò là một thực phẩm có lợi cho sức khỏe, nó còn là một vị thuốc dân gian có tác dụng kháng viêm, kháng khuẩn cực kì hiệu quả. Người bệnh có thể trị sưng nướu răng tại nhà bằng việc sử dụng 1 lượng ít mật ong để thoa nhẹ lên vùng nướu răng bị tổn thương ngay sau khi chải răng. Cách này giúp hỗ trợ sát khuẩn nơi vùng nướu bị tổn thương và giúp giảm đau tương đối hiệu quả.
Chanh

Cách trị sưng nướu răng tại nhà bằng chanh cũng là một biện pháp cực kì dễ tìm, đơn giản nhưng hiệu quả đem lại cũng không hề thua kém các phương pháp khác. Chanh rất giàu vitamin C, có khả năng chống viêm và sát khuẩn rất tốt. Ngoài ra vitamin C cũng giúp tăng đề kháng của cơ thể người bệnh, đề phòng trước sự xâm nhập của các tác nhân gây bệnh như virus, vi khuẩn…
Lô hội

Lô hội (nha đam) cũng là một vị thuốc dân gian có thể trị sưng nướu răng rất hiệu quả. Gọt vỏ nha đam rồi cạo để lấy phần gel nha đam, sau đó xoa nhẹ lớp gel vào nơi nướu răng bị sưng, vừa có tác dụng giảm sưng nướu mà còn giúp chắc khỏe răng, tăng sức đề kháng cho hàm răng của bạn.
Chăm sóc sức khỏe răng miệng đúng cách
Ngoài những cách trị sưng nướu răng vừa nêu, người bệnh cần hạn chế hút thuốc lá, sử dụng chất kích thích như rượu bia… vì ảnh hưởng có hại của chúng là tương đối nhiều đối với sức khỏe răng miệng, có thể khiến răng ngả vàng, sẫm màu, ảnh hưởng đến thẩm mỹ mà còn có thể làm răng dễ bị lung lay, tăng nguy cơ phải nhổ bỏ răng.
Bên cạnh việc hạn chế những hành vi có hại cũng cần phối hợp với hành vi chăm sóc răng miệng đúng cách. Bạn nên tập thói quen chải răng đúng cách tối thiểu 2 lần mỗi ngày, súc miệng với nước muối NaCl 0.9% hoặc các loại dung dịch súc miệng khác sau khi chải răng để loại bỏ những mảnh vụn thức ăn bám ở kẽ răng, ngoài ra nên sử dụng tăm nước thay cho tăm tre.
Cần thay mới bàn chải răng định kỳ mỗi 3 – 4 tháng, để đảm bảo khả năng vệ sinh răng tối đa và không gây tổn thương nướu răng trong quá trình chải răng vì khi dùng bàn chải lâu ngày thì phần lông sẽ bị cứng và xòe ra 2 bên. Thứ nhất là hiệu quả vệ sinh răng sẽ không còn đảm bảo như trước nữa, thứ hai là phần lông bị cứng sẽ gây xước nướu, tổn thương nướu khi chải răng, tạo điều kiện cho vi khuẩn xâm nhập vào gây ra sưng nướu răng.
Cảm ơn bạn đã dành thời gian để đọc và tìm hiểu về 6 cách trị sưng nướu răng vô cùng hiệu quả mà bạn cần biết tại Doctor có sẵn. Chúng tôi rất vinh hạnh chào đón và nhận được sự tín nhiệm từ các bạn.
Bài viết được tham khảo từ bác sĩ và các nguồn tư liệu đáng tin cậy trong và ngoài nước.
Nguồn tham khảo: healthline.com
