Đau nướu răng là tình trạng khá phổ biến, kèm theo đó có thể xuất hiện sưng nướu và kích ứng nướu. Đau nướu răng là vấn đề chung của nhiều người do nhiều nguyên nhân khác nhau gây ra. Trong hầu hết các trường hợp đau nướu răng không đáng lo ngại và có thể tự khỏi trong một khoảng thời gian ngắn nếu như được điều trị và chăm sóc phù hợp. Mời bạn đọc cùng Doctor có sẵn tìm hiểu về đau nướu răng và các cách xử lý khi gặp phải vấn đề này.
Tóm tắt nội dung
Đau nướu răng là gì?

Nướu răng là phần mô bao bọc răng giúp giữ răng nằm trong ổ xương hàm. Bình thường nướu răng có màu hồng nhạt, mềm chắc, bám vào chân răng. Nướu răng có tác dụng bảo vệ, che chắn và cố định phần chân răng vào trong huyệt răng của các xương hàm. Nếu nướu răng bị tổn thương nặng có thể dẫn đến tình trạng viêm nha chu, dần dần làm giảm sự liên kết của răng với huyệt răng dẫn đến mất răng.
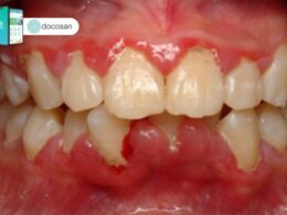
Các triệu chứng có thể xuất hiện đi kèm với đau nướu răng như nướu tấy đỏ, sưng phù, đôi khi sẽ bị chảy máu khi chải răng, dùng chỉ nha khoa hoặc ăn thức ăn giòn, cứng. Các triệu chứng khác có thể bao gồm lở miệng, hôi miệng dai dẳng hoặc tệ hơn là tụt nướu răng khiến nướu không dính vào răng. Nếu tình trạng này tiến triển xấu đi hoặc kéo dài trong một khoảng thời gian, bạn nên đến thăm khám tại bác sĩ nha khoa để được tư vấn và điều trị kịp thời bởi đây có thể là một dấu hiệu nghiêm trọng.
Một số trường hợp đau nướu răng trong cùng hay nói cách khác là đau nướu.
Nguyên nhân đau nướu răng

- Viêm nướu: Nguyên nhân chính gây đau nướu răng thường là do viêm nướu. Việc không vệ sinh răng miệng kĩ sẽ hình thành mảng bám tạo điều kiện thuận lợi cho vi khuẩn sinh sôi, phát triển. Lâu ngày mảng bám sẽ hình thành cao răng, bao gồm cao răng trên nướu và dưới nướu. Khi đó, can thiệp của nha sĩ là cần thiết để loại bỏ nguyên nhân trực tiếp gây viêm nướu.
- Do thuốc: Một số tình trạng đau nướu răng có thể xuất hiện do thuốc là nguyên nhân. Để giải quyết vấn đề này bạn cần tham khảo ý kiến của bác sĩ để được đưa ra lời khuyên phù hợp nhất.
- Thiếu chất: Việc sử dụng thực phầm không đầy đủ các sinh tố vi lượng có thể khiến sức khỏe răng miệng giảm rõ rết, điển hình là sự thiếu hụt vitamin C có thể gây viêm nướu răng nếu như bạn không bổ sung liều lượng theo khuyến nghị mỗi ngày.
- Chuyển sang sử dụng các sản phẩm chăm sóc răng miệng thương hiệu mới: Một số trường hợp nhỏ bị đau nướu răng sau khi đổi sang sử dụng các sản phẩm chăm sóc răng miệng với thương hiệu mới do kích ứng với các thành phần bên trong đó.
- Mang thai: Phụ nữ mang thai có nồng độ hormone sinh dục cao hơn so với bình thường, đây là điều kiện để phản ứng viêm tiến triển. Do đo phụ nữ khi mang thai nếu bị đau nướu răng cần đến bác sĩ để được thăm khám và điều trị phù hợp, không tự ý sử dụng thuốc tại nhà bởi điều này có thể vô tình ảnh hưởng đến sức khỏe của mẹ và bé.
- Đái tháo đường: Các nhà nghiên cứu đã chỉ răng răng, bệnh đái tháo đường có liên quan trực tiếp đến các vấn đề răng miệng, điển hình là bệnh viêm nha chu. Do đó để tránh khỏi điều này, các bệnh nhân mắc bệnh đái tháo đường cần kiểm soát đường huyết triệt để để hạn chế tối đa các biến chứng do đái tháo đường gây ra.
- Do chăm sóc y tế: Một số trường hợp đau nướu răng do sự tác động của nhân viên y tế chăm sóc răng miệng như lấy vôi răng, niềng răng, … Tuy nhiên một thời gian sau sẽ tự khỏi. Nếu cơn đau càng ngày càng trở nên tồi tệ hơn, người bệnh cần đến bác sĩ để được thăm khám và điều trị trực tiếp.
- Mọc răng: Một số trường hợp đau nướu răng trong cùng hay nói cách khác là đau nướu răng khôn cũng có thể xảy ra.
Cách trị đau nướu răng

Nên làm
- Vệ sinh răng miệng thường xuyên bằng bàn chải và chỉ nha khoa: Đây là một trong những phương pháp điều trị và dự phòng bệnh răng miệng đơn giản, rẻ tiền và tiện lợi nhất.
- Sử dụng kem đánh răng có chứa Flo để ngừa sâu răng: Ngày nay hầu hết các loại kem đánh răng đều có chứa Flo trong thành phần nên bạn có thể yên tâm sử dụng.
- Chế độ ăn uống đầy đủ các chất dinh dưỡng: Một chế độ ăn đầy đủ chất dinh dưỡng là rất cần thiết cho việc duy trì sức khỏe răng miệng tốt nhất.
- Súc miệng bằng nước muối hoặc chất kháng khuẩn: Ngoài việc chăm sóc răng miệng bằng bàn chải và chỉ nha khoa thì súc miệng bằng nước muối hoặc các chất kháng khuẩn cũng được khuyến cáo để giảm đau nướu răng và sưng nướu nếu có.
- Thăm khám tại các phòng khám chuyên khoa định kỳ: Các bác sĩ nha khoa khuyên răng việc tái khám định kỳ mỗi 6 tháng 1 lần có thể giúp phòng ngừa cũng như kiểm soát các bệnh răng miệng thường gặp.
- Sử dụng thuốc chống viêm: Nếu các biện pháp trên không hoàn toàn kiểm soát được cơn đau do viêm nướu thì sử dụng thuốc chống viêm là một trong các biện pháp hữu hiệu giúp giới hạn ổ viêm đồng thời giảm đau cho bệnh nhân.
Không nên làm
- Sử dụng thực phẩm gây kích ứng: Một số thực phẩm cay nóng và cứng chắc có thể làm cho tình trạng đau nướu răng trở nên tệ hơn.
- Sử dụng rượu bia, thuốc lá: Thuốc lá và rượu bia đều là hai sản phẩm có thể gây kích ứng dẫn đến làm tệ thêm tình trạng đau nướu răng.
- Xem nhẹ vấn đề: Một số người bệnh thường chọn cách điều trị đau nướu răng tại nhà thay vì đến các cơ sở nha khoa chuyên nghiệp. Điều này chỉ thực sự đúng nếu như bạn có thể đánh giá chính xác sự nghiêm trọng của vấn đề gặp phải. Do đó không nên đánh đổi sức khỏe bản thân nếu như chưa chắc chắn cơ sở để đưa ra quyết định của mình.
Ngày nay, đau nướu răng càng ngày càng trở nên phổ biến hơn do con người thường xuyên tiếp xúc với các chất gây kích ứng nướu răng. Tuy nhiên tỷ lệ người biết chăm sóc sức khỏe răng miệng đã tăng rõ rết nhưng vẫn còn đâu đó một vài cá nhân chưa ý thức được tầm quan trọng của việc chăm sóc sức khỏe răng miệng. Do đó hy vọng qua bài viết này bạn đọc sẽ quan tâm hơn về sức khỏe răng miệng của bản thân cũng như người trong gia đình.
Xem thêm: Chữa viêm chân răng có mủ tại nhà
Bài viết được tham khảo từ bác sĩ và các nguồn tư liệu đáng tin cậy trong và ngoài nước.
