Răng ố vàng là tình trạng răng xuất hiện các mảng màu vàng ố hay răng ngả vàng gây ra mất thẩm mỹ và mất tự tin. Bên cạnh đó nó có thể báo hiệu tình trạng sức khỏe răng miệng của bạn đang có vấn đề và cần nên can thiệp sớm để ngăn chặn những hậu quá xấu. Hãy xem các nguyên nhân, dấu hiệu và cách chữa răng ố vàng ở bài viết bên dưới cùng Docosan.
Tóm tắt nội dung
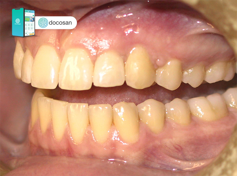
Màu sắc răng bình thường và răng ố vàng
Bề mặt răng được bao phủ bởi một lớp tên là men răng. Lớp này do sự canxi hóa tạo nên vì vậy rất cứng, Nó có màu trắng sữa (màu ngà voi). Màu sắc đó có liên quan đến mức độ canxi hóa của men răng. Dưới lớp men răng là lớp ngà răng, có màu vàng nhạt. mức độ canxi hóa của men răng càng cao thì độ trong suốt càng lớn hơn, làm cho màu vàng của lớp bên dưới càng dễ thấy hơn. Vì vậy một răng chắc khỏe sẽ có màu hơi ngả vàng
Tuy nhiên khi răng xuất hiện các mảng ố vàng hay ngả hết sang màu vàng sẫm thì có thể răng bạn đang gặp vấn đề. Các biểu hiện răng ố vàng khá đa dạng và tùy theo các nguyên nhân gây ra vàng răng.

Nguyên nhân làm răng ố vàng
Thức ăn thức uống
Bề mặt men răng có các đường rãnh khiến vụn đồ ăn và thức uống có thể mắc kẹt trong đó. Một số loại thức ăn và đồ uống đậm màu như cafe, trà, nước có gas, rượu đỏ có thể khiến răng bị vàng ố. Theo thời gian, những vết ố này trở nên vĩnh viễn và đặc biệt là khi có vệ sinh răng miệng kém.
Axit từ các thức ăn có chứa nhiều axit sẽ khiến men răng bị ăn mòn, từ đó để lộ ra lớp ngà răng bên dưới màu sẫm hơn, biểu hiện là răng ngả vàng. Các đồ ăn thức uống có tính axit cao như chanh, các loại trái cây chua, nước có gas, rượu,..
Cao răng
Khi các thức ăn còn đọng lại trên răng do không được vệ sinh răng miệng tốt sẽ tích tụ lại cùng với rất nhiều vi khuẩn, gọi là mảng vám. Càng về sau, việc vệ sinh răng miệng kém có thể khiến cho các mảng bám này trở nên cứng hơn và trở thành một lớp rất khó lấy ra, lúc đó lớp này được gọi là cao răng.
Cao răng còn được gọi là vôi răng, là những mảng bám vàng cứng dính chặt vào bề mặt răng, đặc biệt là ở ngay đường nướu hay dưới nướu. Chính vì thế, ngoài việc làm mất thẩm mỹ cho răng mà nó còn tạo điều kiện cho sâu răng và các bệnh về nướu.
Hút thuốc lá và sử dụng các sản phẩm có chứa nicotine
Thuốc lá chứa nicotine và nhựa thuốc lá bám lên men răng gây ngả màu khiến men răng vàng. Những mảng ố do thuốc lá, những sản phẩm nhai nhai hay ngậm chứa nicotine có xu hướng trở nên sẫm màu dần theo thời gian và khó có thể tẩy sạch.

Thuốc
Một vài loại thuốc có thể gây ra vàng răng, được biết đến nhiều nhất là Tetracycline, một loại kháng sinh. Khi trẻ em uống tetracyclin hay phụ nữ dùng tetracyclin sau tháng thứ tư của thai kỳ hoặc trong thời gian cho con bú có thể gây ra răng vàng ở trẻ.
Sử dụng nước súc miệng nồng độ Chlorhexidine cao cũng có thể gây ra vàng răng
Sâu răng
Các vi khuẩn trong mảng bám và cao răng ăn các loại đường được cho vào miệng. Sau đó chúng sẽ sản sinh ra axit làm mòn đi lớp men răng, các lớp có màu vàng ở phía dưới sẽ dần lộ ra rõ hơn. Răng lúc này sẽ có màu vàng nâu.
Các tổn thương cơ học khác như tật hay nghiến răng cũng có thể khiến bề mặt răng tạo ra các vết nứt làm tổn thương men răng và tạo điều kiện cho vi khuẩn xâm nhập vào làm sâu răng.
Các vật liệu nha khoa
Nếu bạn đã từng thực hiện các thủ thuật nha khoa và được gắn các vật liệu nha khoa như miếng trám răng, mão răng, hay cầu răng thì chúng đều sẽ bị ngả màu theo thời gian và khiến răng bạn bị ố vàng.
Răng nhiễm Fluor
Flour mang lại nhiều lợi ích cho răng miệng. Flour giúp răng chắc khỏe và ngăn ngừa sâu răng. Tuy nhiên khi dùng Flour quá nhiều trong thời gian dài có thể dẫn đến tình trạng vàng răng do răng nhiễm Fluor, đặc biệt ở trẻ em.
Răng nhiễm fluor xuất hiện các dải màu trắng hoặc xám dọc theo răng. Ở những trường hợp nặng, nhiễm fluor có thể gây ra các đốm hoặc lỗ màu nâu đen, lúc này nên cần sự can thiệp tại các cơ sở nha khoa
Di truyền
Di truyền ảnh hưởng nhiều đến màu sắc răng của mỗi người, có người răng trắng sáng còn có người răng hơi ngả vàng. Bên cạnh đó, độ cứng của men răng và phản ứng của men răng với các sắc tố và axit cũng một phần do di truyền quyết định.
Lão hóa
Men răng bị mài mòn dần theo thời gian và để lộ ra phần ngà răng màu vàng bên dưới, dẫn đến các điểm ố vàng hay răng ngả vàng
Cách chữa răng ố vàng
Có rất nhiều cách để chữa vàng răng, kể cả tại nhà và tại các cơ sở nha khoa. Một số cách đơn giản tại nhà mà bạn có thể áp dụng là
Dùng hỗn hợp baking soda và oxy già
Trộn 1 thìa baking soda với 2 thìa dung dịch oxy già để tạo thành hỗn hợp sền sệt và đánh răng. Súc miệng kỹ bằng nước sau khi đánh răng bằng hỗn hợp này.
Một vài nghiên cứu về sự kết hợp kem đánh răng với baking soda cũng kết luận rằng chúng hiệu quả và an toàn để loại bỏ vết ố trên răng và làm trắng răng, đồng thời có thể được sử dụng hàng ngày.

Dùng dầu dừa
Ngậm dầu dừa lỏng (khoảng 1-2 muỗng cà phê) trong miệng từ 10-30 phút. Sau đó nhổ ra, không được nuốt. Súc miệng bằng nước và sau đó uống một cốc nước đầy. Sau đó đánh răng bình thường.
Dùng giấm táo
Giấm táo có thể được sử dụng với một lượng rất nhỏ để làm trắng răng. Tuy nhiên, giấm táo có thể gây ảnh hưởng đến độ cứng và cấu trúc bề mặt của răng. Vì vậy chỉ nên dùng chúng trong một thời gian ngắn
Làm nước súc miệng bằng cách trộn 2 thìa cà phê giấm táo với 180ml nước. Súc miệng bằng dung dịch này trong 30 giây. Sau đó súc lại sạch với nước và đánh răng.
Dùng vỏ chanh, cam, quýt hoặc chuối
Người ta cho rằng hợp chất d-limonene và axit citric, được tìm thấy trong vỏ trái cây họ cam quýt, sẽ giúp làm trắng răng của bạn.
Nhẹ nhàng chà vỏ trái cây lên răng trong khoảng 2 phút. Đảm bảo súc miệng kỹ lưỡng và đánh răng sau đó
Hãy cẩn thận khi sử dụng phương pháp này vì axit có trong vỏ trái cây có thể ăn mòn và làm mòn men răng của bạn. Nếu bạn cảm thấy răng trở nên nhạy cảm hơn, hãy ngừng sử dụng phương pháp này
Đến bác sĩ nha khoa
Có nhiều trường hợp răng vàng ố cần sự can thiệp của các bác sĩ nha khoa, càng sớm càng tốt, ví dụ như cao răng hay sâu răng. Bác sĩ sẽ kiểm tra hàm răng của bạn và tư vấn cho bạn những biện pháp điều trị phù hợp nhất. Bên cạnh đó, bạn có thể cải thiện nụ cười của mình bằng các phương pháp thẩm mỹ như tẩy trắng răng, bọc răng sứ, làm mặt dán sứ,..
Làm sao để ngăn ngừa răng ố vàng?
Có nhiều cách để điều trị răng vàng ố, tuy nhiên cần thời gian, kiên nhẫn và có thể về mặt kinh tế. Vì vậy, ngăn ngừa răng vàng ố là điều quan trọng nhất cần nên làm và ai cũng có thể thực hiện được
- Vệ sinh răng miệng thường xuyên, tối thiểu 2 lần 1 ngày, sáng và tối, đánh bằng kem đánh răng ít nhất 2 phút trong một lần đánh. Sử dụng nước súc miệng có chứa fluor mỗi ngày. Việc này không khuyến cáo áp dụng cho trẻ dưới 6 tuổi
- Dùng chỉ nha khoa để lấy các mảng bám trên răng
- Hạn chế dùng các đồ ăn thức uống gây vàng răng như nước ngọt, cà phê, trà, rượu đỏ, thức ăn có màu nhân tạo,..
- Ngưng hút thuốc lá: không những bảo vệ hàm răng mà còn bảo vệ sức khỏe của bạn khỏi những vấn đề bệnh tật khác
- Sử dụng ống hút khi uống các thức uống chứa axit, giảm các thức ăn chứa axit.
- Khám nha khoa định kỳ mỗi 6 tháng 1 lần để được các bác sĩ kiểm tra răng miệng toàn diện và nên hỏi bác sĩ về các yếu tố có thể làm tổn thương răng như tật hay nghiến răng

Lời kết
Răng vàng ố là một tình trạng răng miệng thường gặp, gây ra mất thẩm mỹ cũng như tiềm tàng những căn bệnh nguy hiểm đằng sau nó. Nguyên nhân chủ yếu là do vệ sinh răng miệng không đúng cách, do đồ ăn thức uống hay do tác dụng phụ của một số thuốc gây ra. Có nhiều cách để điều trị răng vàng ố, tuy nhiên phòng bệnh hơn chữa bệnh, tốt nhất vẫn nên ngăn ngừa răng vàng ố bằng cách vệ sinh răng miệng thường xuyên và đi khám nha khoa định kỳ.
TÀI LIỆU THAM KHẢO
