Sán não là bệnh lý thuộc nhóm nhiễm trùng hệ thần kinh trung ương, gây ảnh hưởng nghiêm trọng đến sức khỏe của người bệnh với mức độ nguy hiểm rất cao có thể dẫn đến tử vong nếu không được chẩn đoán và điều trị kịp thời. Bệnh này thường gây ra do sự nhiễm ấu trùng giun sán ở lợn, do đó những người làm chăn nuôi, giết mổ, buôn bán thịt lợn thường có nguy cơ cao mắc bệnh. Mời bạn đọc cùng Doctor có sẵn tìm hiểu về bệnh sán não thông qua bài viết dưới đây.
Tóm tắt nội dung
Bệnh sán não là gì?

Sán não là bệnh lý nhiễm trùng hệ thần kinh trung ương do nang ấu trùng sán dải heo gây ra. Nang ấu trùng có thể ký sinh ở da, mô dưới da, bắp thịt và thường được phát hiện tình cờ khi chụp X – quang hoặc khám sức khỏe định kỳ. Đôi khi những cục u dưới da bất thường cũng là lý do khiến người bệnh đến khám.
Bệnh thường ở những khu vực có mức thu nhập thấp, khả năng vệ sinh kém, đặc biệt ở những vùng có thói quen tập quán chăn nuôi lợn thả rông, ăn thịt lợn chưa được nấu chín hoặc ăn tiết canh, nem sống, gỏi sống,… và những người làm nghề chăn nuôi, giết mổ thịt heo cũng là một trong những đối tượng nguy cơ cao mắc bệnh sán não.
Chu trình phát triển của sán dải heo rất đơn giản, chủ yếu lây nhiễm theo đường phân miệng. Nang ấu trùng có trong mô thịt của heo bị con người ăn phải trong trường hợp chưa nấu chín hoặc tiếp xúc tay không với thịt heo sẽ phát triển thành sán dải trong đường ruột. Các đốt sán, trứng sán liên tục được thải ra ngoài và sống trong môi trường cho đến khi heo nuốt phải trứng sán hoặc đốt sán. Sán lên não xảy ra khi các nang ấu trùng xâm nhập vào các mô khác ngoài đường tiêu hóa.
Sán não triệu chứng như thế nào?

Người mắc bệnh sán dải heo trưởng thành hầu như không có triệu chứng điển hình cho đến khi phát hiện các đốt sáng lẫn trong phân xuất hiện với tần suất thường xuyên trong mỗi lần đi cầu. Bên cạnh đó, bệnh do nang ấu trùng sán dải heo thường có những triệu chứng điển hình của những cơ quan mà nó xâm nhập.
Một số dấu hiệu và triệu chứng sau đây có thể gặp nếu mắc bệnh do nang ấu trùng sán dải heo:
- Nang ấu trùng ở mắt: chảy nước mắt sống, cử động mắt khó khăn, lồi mắt, lé mắt, giảm thị lực, đôi khi gây mù mắt.
- Nang ấu trùng ở não: nhức đầu, chóng mặt, động kinh, suy giảm trí nhớ, bai liệt.
- Nang ấu trùng ở tim: thường khó chẩn đoán, chỉ biết khi mổ tim hay giải phẫu tử thi.
- Sán trưởng thành ở đường tiêu hóa: có thể đau bụng âm ỉ, rối loạn tiêu hóa, cơ thể suy nhược, ăn uống kém, đốt sán dải bò ra ngoài qua đường hậu môn hoặc thậm chí người bệnh có thể nôn ra đốt sán dải.
Các triệu chứng sán não thường không điển hình, bệnh được phát hiện khi người bệnh tìm thấy đốt sán trong phân. Khi đó có thể chẩn đoán xác định nhiễm sán dải heo. Trong trường hợp xuất hiện các triệu chứng trên kèm theo, người ta có thể nghĩ đến bệnh do nang ấu trùng sán. Lúc này sự can thiệp của y khoa là rất cần thiết để điều trị kịp thời, tránh những biến chứng nguy hiểm về sau.
Điển hình có thể kể đến sự xuất hiện của sán dải heo là ở trong những miếng thịt lợn “gạo”. Các đốt “gạo” ở đây thực chất là các nang nước chứa một đầu sán dải heo. Nang này khi vào ruột con người dưới tác dụng của men tiêu hóa sẽ phóng thích sán và bám vào thành niêm mạc ruột. Sán có thể phát triển thành sán trưởng thành trong vòng 8 – 10 tuần. Loại sán này có thể ký sinh ở cơ thể con người trong khoảng thời gian rất dài lên đến 20 – 25 năm.
Chẩn đoán

Để chẩn đoán bệnh sán não ở người, dựa theo triệu chứng lâm sàng trước tiên người ta cần tìm được sán dải heo trong phân hoặc có thể nghi ngờ nếu trong trường hợp người bệnh có yếu tố nguy cơ tiếp xúc với nang ấu trùng sán dải như ăn thịt heo sống, chăm nuôi heo thả rông, giết mổ thịt heo. Khi đó ta có thể đề nghị các cận lâm sàng khác để xác minh cũng như chẩn đoán xác định.
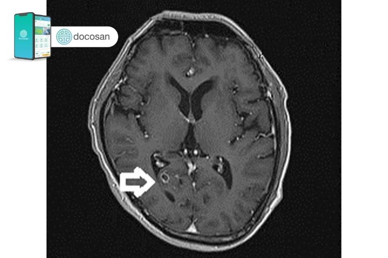
Một số kỹ thuật cận lâm sàng như chụp cắt lớp (CT scan) hoặc cộng hưởng từ (MRI) của não có thể giúp xác định việc có nang ấu trùng sán trong não hay không và đánh giá mức độ tổn thương do chúng gây ra.
Xét nghiệm phân để tìm trứng sán hoặc đốt sán mang trứng trong phân có thể được thực hiện trong trường hợp nghi ngờ nhưng chưa có bằng chứng xác thực. Tìm trứng sán bằng phương pháp Graham là một trong những phương pháp hữu hiệu. Sau đó, bác sĩ có thể chỉ định các cận lâm sàng khác như chụp X – quang, siêu âm, CT-scan hoặc thậm chí là MRI trong trường hợp bệnh nhân bị sán não. Do bệnh nhân bị sán não đến với bác sĩ trong hầu hết các tình huống đã bị thay đổi ý thức nên việc tiếp cận thường khá khó khăn.
Điều trị

Điều trị sán não hoàn toàn không đơn giản. Do đó khi thấy các triệu chứng kể trên kèm với sự thay đổi ý thức của bệnh nhân hoặc bệnh nhân có những biểu hiện bất thường người nhà nên đưa họ đến bệnh viện để được điều trị. Một số phương pháp điều trị được áp dụng như:
Quy trình điều trị sán não cơ bản
- Chẩn đoán: Đầu tiên, người bệnh cần được chẩn đoán chính xác bằng cách tham khảo ý kiến bác sĩ. Bác sĩ sẽ đánh giá triệu chứng, tiền sử bệnh và tiến hành các xét nghiệm cần thiết như xét nghiệm nước tiểu, xét nghiệm máu hoặc xét nghiệm phân để xác định sự có mặt của sán.
- Chẩn đoán và đánh giá tổn thương: Bác sĩ có thể sử dụng các kỹ thuật chẩn đoán hình ảnh như CT hay MRI để đánh giá và xác định mức độ tổn thương gây ra bởi sán.
- Sử dụng thuốc praziquantel: Praziquantel là loại thuốc gốc điều trị sán não hiệu quả. Liều lượng và thời gian dùng thuốc sẽ được bác sĩ chỉ định dựa trên trọng lượng cơ thể và mức độ nhiễm sán của người bệnh.
- Theo dõi và tái khám: Sau khi uống thuốc, bác sĩ sẽ theo dõi tình trạng của bệnh nhân và yêu cầu tái khám để đảm bảo rằng sán não đã được loại bỏ hoàn toàn.
Một số phương pháp điều trị được áp dụng như:
- Điều trị đặc hiệu: Praziquantel 600 mg liều duy nhất (trẻ em 10 mg/kg liều duy nhất). Sán não thường được điều trị bằng thuốc praziquantel hoặc albendazole để bước đầu tiêu diệt ấu trùng sán dây.
- Điều trị hỗ trợ: giảm đau, chống nôn, chỉ định ngoại khoa khi có tình huống tắc ruột, thuốc chống động kinh
- Phẫu thuật dẫn lưu não thất, lấy kén sáng khi có dấu hiệu tăng áp lực nội sọ. Trong trường hợp kén sán quá lớn hoặc hoạt động cản trở hệ thần kinh, dịch não tủy khó lưu thông gây hội chứng tăng áp lực nội sọ thì việc điều trị nội khoa lúc này sẽ không mang lại hiệu quả. Thay vào đó bệnh nhân phải trải qua phẫu thuật để dẫn lưu não thất và loại bỏ kén sán ra ngoài.
Một số lưu ý khi điều trị sán não
Tiêu chí lựa chọn thuốc:
- Thuốc phải có tác dụng đồng thời với nhiều loại sán và ký sinh trùng.
- Thuốc phải đạt hiệu quả cao trong điều trị.
- Thuốc ít tác dụng phụ và chỉ độc với sán, không gây hại cho sức khỏe con người.
- Thuốc này có thể dễ dàng dùng bằng đường uống.
- Dạng thuốc dễ sử dụng, tiện lợi.
Sử dụng thuốc trong điều trị:
- Khi sử dụng thuốc cho từng bệnh nhân, nên lựa chọn từng loại thuốc tùy theo tình trạng sức khỏe và cơ địa của bệnh nhân để đảm bảo hiệu quả điều trị và theo dõi tác dụng phụ của thuốc.
- Đối với việc điều trị trong cộng đồng, cần có những liệu pháp phù hợp, dễ sử dụng, có thể sử dụng với số lượng lớn trong cộng đồng và phải đạt hiệu quả cao.
- Tuy nhiên, hiện nay việc lựa chọn thuốc đặc hiệu và phác đồ điều trị đạt hiệu quả cao, an toàn trong bệnh sán lợn còn gặp nhiều khó khăn, chưa có phác đồ điều trị tối ưu cho bệnh này, đặc biệt là ấu trùng sán dây sống trong não.
Phòng ngừa tái nhiễm: Điều trị cần phối hợp với điều trị sạch ký sinh trùng và phòng tái nhiễm để đảm bảo hiệu quả và khống chế lây lan trong cộng đồng.
Thuốc đặc trị sán dây và ấu trùng sán dây
Thuốc Prazicatel
Cơ chế tác dụng: Thuốc thấm nhanh vào sán, làm tăng Ca++ trong tế bào sán dẫn đến vỡ tế bào và khiến ký sinh trùng chết. Tác dụng của praziquantel sẽ khác nhau tùy theo các loài sán khác nhau. Ngoài ra, praziquantel còn làm giảm nồng độ glycogen nội sinh và giảm lactate của ký sinh trùng.
Tác dụng phụ: thường nhẹ và nhanh khỏi. Chúng bao gồm chóng mặt, nhức đầu, buồn ngủ, buồn nôn, khó chịu ở bụng, phát ban da và đôi khi sốt.
Thuốc Albendazol
Cơ chế hoạt động: Hấp thu glucose làm giảm lượng dự trữ glycogen, ATP gây tê liệt giun sán. Do đó, khi điều trị giun sán, chúng bị bỏ đói và thải ra ngoài theo phân suốt cả tuần.
Tác dụng phụ: Các triệu chứng như nhức đầu, đau vùng bụng trên, tiêu chảy, buồn nôn, chóng mặt, khó chịu,…xảy ra ít và tạm thời.
Chống chỉ định và Thận trọng: Chống chỉ định cho phụ nữ có thai và trẻ em dưới 24 tháng. Hãy thận trọng nếu bạn bị suy gan hoặc suy thận, hoặc bị dị ứng với bất kỳ thành phần nào của thuốc.
Phòng ngừa bệnh sán não
Hầu như, bệnh nhân đến với bệnh sán não đều ở giai đoạn nặng của bệnh. Do đó, việc dự phòng lây nhiễm là rất cần thiết và nên được đặt lên hàng đầu. Ở nước ta, tỷ lệ nhiễm sán dải heo có lẽ đang được cải thiện vượt bậc so với những năm về trước do mức độ an sinh xã hội cũng đã tốt hơn rất nhiều. Một số phương pháp dự phòng có thể kể đến như:
- Tẩy giun sán định kỳ 6 tháng 1 lần (đối với trẻ từ 2 tuổi trở lên).
- Rửa tay trước khi ăn và sau khi đi vệ sinh.
- Chăn nuôi lợn không thả rông.
- Giết mổ lợn có găng tay bảo hộ.
- Cẩn thận khi ăn các loại rau sống, đặc biệt là rau được bón từ phân heo.
- Ăn chín, uống sôi, tránh các thực phẩm tái, sống.
- Kiểm tra sức khỏe định kỳ.
- Bảo quản thực phẩm sạch sẽ và ở nhiệt độ an toàn.
- Để riêng thực phẩm sống và chín.
- Thịt heo/bò nên nấu ở nhiệt độ ít nhất 70 độ C để diệt ấu trùng và trứng.
- Sử dụng nguồn nước và vật liệu sạch, an toàn.
- Điều trị sán dây ở vật nuôi.
Sán não là một trong những bệnh thần kinh trung ương nguy hiểm. Bệnh phát triển âm thầm cho đến khi phát hiện những triệu chứng rõ rệt thường khá muộn. Do đó các biện pháp dự phòng mắc bệnh sán não được ưu tiên hàng đầu.
Câu hỏi thường gặp
Sán não có nguy hiểm không?
Sán não là một loại ký sinh trùng gây nhiễm khuẩn trong não và hệ thần kinh. Nếu không được chẩn đoán và điều trị kịp thời, sán não có thể gây ra nhiều biến chứng nguy hiểm cho sức khỏe như viêm não, tổn thương não, tổn thương thần kinh, biến chứng về thị giác,…
Phác đồ điều trị sán não
Phác đồ điều trị sán não phụ thuộc vào loại sán và mức độ nhiễm khuẩn.u003cbru003eChọn thuốc điều trị sánu003cbru003eGiảm triệu chứng đau đầu, buồn nôn,…u003cbru003eĐiều trị các biến chứngu003cbru003eTheo dõi và kiểm tra tái khám
Bệnh sán não có chữa được không?
Thông thường, bệnh sán não có thể được chữa khỏi hoặc kiểm soát tốt nếu được chẩn đoán sớm, điều trị kịp thời và hiệu quả. Ngoài ra, việc xử lý các triệu chứng và biến chứng khác liên quan cũng quan trọng. Một số trường hợp có thể cần nhiều liệu pháp hoặc thời gian điều trị dài hơn để đạt hiệu quả cao.
Dấu hiệu bị sán não
Đau đầu kéo dài hoặc tự phátu003cbru003eBuồn nôn và nôn mửau003cbru003eSụt cân không rõ nguyên nhânu003cbru003eRối loạn giấc ngủ, mệt mỏiu003cbru003eThay đổi tâm trạng lo lắng, áp lực, tức giận…u003cbru003eMờ mắt, mất khả năng nhìn rõ.u003cbru003eTê liệt, co giật.
Ăn tiết canh bị sán não?
Máu sống từ các động vật có thể mang các loại sán như trùng dây, sán tròn, hoặc sán mắt. Khi tiết canh không được chế biến một cách an toàn, vi khuẩn và ký sinh trùng không bị tiêu diệt, gây nguy cơ lây nhiễm cho người sử dụng.
Xem thêm:
- Dấu hiệu bệnh sán mèo lây sang người mà bạn cần biết
- Nhiễm sán cá: Nguyên nhân, nguyên tắc điều trị bạn cần biết
- Sán lá máu và những thông tin quan trọng bạn cần biết
- Sán lá ruột và những thông tin quan trọng bạn cần biết
Bài viết được tham khảo từ bác sĩ và các nguồn tư liệu đáng tin cậy trong và ngoài nước. Tuy nhiên, Doctor có sẵn Team khuyến khích bệnh nhân hãy tìm và đặt lịch khám với bác sĩ có chuyên môn để điều trị.
Có thể bạn quan tâm
