U máu trong miệng là một loại khối u mạch máu thường gặp, ngoài ra u máu còn xuất hiện ở nhiều vị trí khác trên cơ thể, phổ biến là ở da. Vậy u máu trong miệng có nguy hiểm không? Điều trị u máu trong miệng như thế nào? Hãy cùng Docosan tìm hiểu trong bài viết dưới đây!
Bài viết được tham khảo ý kiến chuyên môn của Bác sĩ Trần Diễm Hương
Tóm tắt nội dung
Tổng quan về u máu trong miệng

U máu là một vết dị hình hoặc một khối u ở niêm mạc hoặc u máu dưới da, thường có nguồn gốc bẩm sinh, nó được hình thành từ sự giãn nở và tăng sinh của các mao mạch, và được thông nối với nhau bằng tổ chức mô liên kết. U máu cũng có thể được cấu tạo như dạng xoang như các xoang mạch máu ở cấu trúc dương vật.
U máu được chia làm 2 loại chính dựa vào cấu tạo, bao gồm:
- U máu dạng mao mạch: Đây là loại u máu phổ biến nhất, chiếm đến khoảng 60% tình trạng u máu, được hình thành từ sự tăng sinh và giãn nở mao mạch, tuy nhiên tế bào nội mô mạch máu sẽ không tăng sinh. Những mao mạch bên trong u được phát hiện ở nhiều giai đoạn phát triển khác nhau, có chỗ rỗng, chỗ đặc và kích thước không đồng đều như các mao mạch thông thường.
- U máu dạng hang: Loại này chỉ chiếm khoảng 30% các trường hợp u máu, có cấu tạo tương tự thể hang ở dương vật, gồm có nhiều hốc xoang nhỏ chứa đầy máu và thông nối với nhau. Thường u máu dạng hang sẽ một lớp vỏ xơ bao bọc bên ngoài, gây đè ép lên các tổ chức mô lân cận. Các hốc xoang được ngăn cách bởi các vách collagen. Trong u máu dạng hang, các mao mạch thường có thể giãn rất rộng.
Trên một tổn thương, đôi khi có thể xuất hiện cả 2 loại u máu cùng 1 lúc. Ngoài ra, 2 loại u máu này cũng có thể xuất hiện đồng thời với những tổn thương khác như u bạch mạch,.. tạo thành phức hợp u máu – bạch mạch, hoặc u máu trong xương, cơ, sụn,…
Bạn đang tìm hiểu về u máu, một dạng tổn thương phổ biến được phân loại thành u máu dạng mao mạch và u máu dạng hang dựa trên cấu tạo. Dù là loại nào, việc hiểu rõ về u máu là bước đầu tiên để chủ động theo dõi sức khỏe của mình. Đôi khi, những tổn thương này có thể xuất hiện cùng các bệnh lý khác hoặc gây biến chứng, dẫn đến những lo lắng về chi phí y tế nếu cần đến thăm khám và điều trị.
Nếu bạn đang tìm kiếm sự chuẩn bị chu đáo để an tâm đối mặt với mọi tình huống sức khỏe và giảm bớt lo lắng về tài chính, hãy để lại thông tin của bạn vào form bên dưới để nhận tư vấn miễn phí về các giải pháp phù hợp.
Sự khác nhau giữa u máu và dị dạng mạch máu:
Về mặt lâm sàng

Khoảng 50% trường hợp u máu được phát hiện ngay từ khi trẻ mới được sinh ra, phần còn lại được phát hiện trong 1 tháng đầu đời. Sự phát triển của u máu bao gồm 2 giai đoạn khác biệt: Khi mới hình thành là giai đoạn tăng trưởng nhanh (u máu xuất hiện rõ, lan ra xung quanh và nhô lên trên niêm mạc hoặc bề mặt da), kéo dài trong vòng 6 đến 8 tháng sau đó sẽ ngừng tăng trưởng và thoái triển.
Mặt khác, khoảng hơn 90% các trường hợp dị dạng mạch máu sẽ xuất hiện ngay từ lúc trẻ mới được sinh ra. Dị dạng mạch máu sẽ tăng sinh theo tốc độ phát triển của bệnh lý. Khác với dị dạng mao mạch, những loại dị dạng mạch máu còn lại có thể có tăng sinh và lan rộng bất thường.
Về mô bệnh học
U máu có sự tăng sinh mạnh mẽ của những tế bào nội mô mạch máu và số lượng những tế bào Mastocyte (đóng vai trò tân mạch – tạo mạch máu mới) trong thời kỳ tăng sinh, còn trong thời kỳ thoái triển thì số lượng tế bào Mastocyte trở về bình thường nhưng thâm nhiễm và tăng sinh nhiều mô mỡ, mô xơ.
Còn ở trường hợp dị dạng mạch máu, không có sự tăng sinh của các tế bào nội mô, chúng chỉ sắp xếp thành một lớp dẹt phẳng, có thể có sự biến đổi ở các lớp tế bào bên ngoài của mạch máu.
Về huyết học
U máu có thể gây tăng số lượng tiểu cầu, dẫn đến tình trạng đông máu ở bên trong lòng mạch của khối u, trong khi đó dị dạng mạch máu không gây bất cứ rối loạn nào về huyết học. Về mặt huyết động, u máu có sự gia tăng lưu lượng dòng máu, còn dị dạng mạch máu thì có tình trạng thông nối động – tĩnh mạch hoặc có sự gia tăng lưu lượng dòng máu.
U máu trong miệng
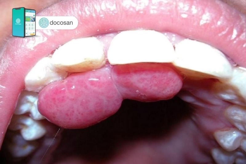
U máu trong miệng chiếm khoảng 10% các trường hợp u máu, nó tương tự u máu ở dưới da, có thể có dạng u phẳng, gồ lê hoặc thể củ. Thường không phát hiện có phình mạch trong niêm mạc khoang miệng.
U máu trong miệng thường xuất hiện ở các vị trí như môi, nổi cục máu trong má, lưỡi, sàn miệng, đặc biệt là vòm khẩu cái mềm, có thể lan đến cả amygdale và dính với lưỡi gà, hình thành một phức hợp u gồ, thể củ, tình trạng này tương đối nguy hiểm.
Niêm mạc phủ bền mặt u máu trong miệng có màu đỏ thẫm hoặc màu tím sẫm, có thể hơi gồ ghề nhẹ hoặc nhiều, dễ gây chảy máu khi bị đụng phải và gây vướng khi ăn uống hoặc nói chuyện, ảnh hưởng nhiều đến cuộc sống sinh hoạt và làm việc của người bệnh.
U máu trong miệng có thể lan rộng ra ngoài bề mặt da, sau khi nó xâm lấn đến tổ chức dưới niêm mạc, tổ chức mỡ dưới da và cơ. Sự lan rộng thường theo chiều ngang, rải rác nhiều nơi trong khoang miệng.
Tuy nổi cục máu đông trong miệng không ảnh hưởng nhiều đến thẩm mỹ, nhưng hậu quả của nó là ảnh hưởng rất nhiều đến chức năng của người bệnh, gây vướng khi ăn, nói chuyện và gây chảy máu, có thể dẫn đến tình trạng nhiễm trùng vì khoang miệng là nơi có rất nhiều vi sinh vật.
Xem thêm:
Điều trị u máu trong miệng ra sao?
U máu trong miệng có thể tự ổn định hoặc thoái triển, hoặc cũng có thể tiếp tục tăng trưởng nhanh hay chậm tùy thuộc mức độ ác tính của nó.
Nếu nổi cục máu trong má đã xuất hiện bẩm sinh và kéo dài đến khi trẻ 2 – 3 tuổi thì đa số sẽ tiếp tục tăng trưởng chậm hoặc nhanh, nhưng tối thiểu cũng phù hợp với độ tuổi. Tùy theo mỗi trường hợp nổi cục máu đông trong miệng mà bác sĩ sẽ có những can thiệp đặc hiệu hoặc tiếp tục theo dõi sự phát triển u máu. U máu trong miệng sẽ được loại bỏ bằng các phương pháp can thiệp sau đây:
- Vật lý: Tia xạ, radium, đồng vị phóng xạ.
- Hoá học: tiêm thuốc gây xơ hoá mạch máu .
- Phẫu thuật với các mức độ khác nhau tùy thuộc vào vị trí và kích thước khối u: phẫu thuật nhỏ như cạo, mài; Phẫu thuật trung bình như: khâu xơ hoá, cắt bán phần, phẫu thuật lớn: cắt bỏ toàn bộ và phẫu thuật tạo hình.

Riêng với u máu trong miệng, điều trị sẽ cụ thể như sau:
- Với dạng u máu phẳng dẹt, khu trú, thường bác sĩ sẽ phẫu thuật cắt bỏ là phổ biến nhất. Tuy không đòi hỏi cao về mặt thẩm mỹ như u máu phẳng ở ngoài da, trường hợp này vẫn cần đảm bảo bảo tồn chức năng vì nếu khâu niêm mặc miệng nhăn nhúm sẽ dễ để lại sẹo ảnh hưởng đến chức năng ăn uống của bệnh nhân, ngoài ra có thể kéo lệch cả mũi, môi.
- U máu trong miệng gây chảy máu hoặc thể củ cần được cắt bỏ hoàn toàn hoặc tiêm thuốc xơ hóa mạch máu.
Phương pháp dùng thuốc:
- Thuốc chẹn beta: Propranolol uống là biện pháp phòng ngừa đầu tiên đối với u mạch máu cần điều trị toàn thân. Thuốc chẹn beta tại chỗ chẳng hạn như gel timolol: có thể được sử dụng cho các u máu nhỏ, bề ngoài.
- Thuốc Corticosteroid: có thể được tiêm vào u máu để làm giảm sự phát triển của nó và ngăn chặn tình trạng viêm.
Steroid toàn thân, chẳng hạn như prednisone và prednisolone, thường không được sử dụng nữa. Mặc dù vậy, chúng có thể có vai trò đối với những người không thể sử dụng các loại thuốc khác như thuốc chẹn beta thường được sử dụng hơn.
Cảm ơn bạn đã dành thời gian để đọc và tìm hiểu về U máu trong miệng: 1 số kiến thức có thể bạn chưa biết tại Docosan. Chúng tôi rất vinh hạnh chào đón và nhận được sự tín nhiệm từ các bạn.
Bài viết được tham khảo bác sĩ và các nguồn tư liệu đáng tin cậy trong và ngoài nước.
- Lyssy LA, Puckett Y. Oral Hemangiomas. [Updated 2022 Aug 8]. In: StatPearls [Internet]. Treasure Island (FL): StatPearls Publishing; 2023 Jan-. Available from: https://www.ncbi.nlm.nih.gov/books/NBK560768/
- Owen Kramer, M.D.. Hemangioma. Healthline. September 27, 2019. (Accessed on June 6th 2023)
