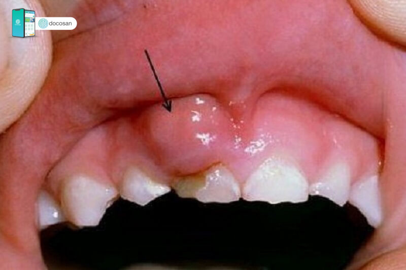
Sưng chân răng hay áp-xe răng là tình trạng chân răng có một túi mủ do nhiễm trùng do vi khuẩn gây ra. Áp xe có thể xảy ra ở các vùng khác nhau của răng và dễ dàng điều trị. Tuy nhiên, các biến chứng của bệnh này lại vô cùng nguy hiểm nếu không được điều trị kịp thời. Hãy cùng Doctor có sẵn tìm hiểu về nguyên nhân, triệu chứng và cách điều trị chân răng bị sưng hiệu quả trong bài viết dưới đây.
Tóm tắt nội dung
Sưng chân răng là gì?
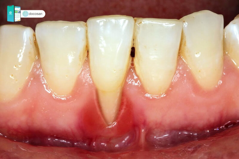
Sưng chân răng là tình trạng nhiễm trùng do vi khuẩn, có thể xảy ra ở đầu chân răng (quanh răng) hoặc ở mặt bên của chân răng (nha chu). Áp-xe sẽ chứa đầy mủ và thường là do sâu răng, chấn thương hoặc việc điều trị nha khoa trước đó tạo ra các vết nứt khiến cho vi khuẩn xâm nhập và làm nhiễm trùng răng.

Triệu chứng của chân răng bị sưng
Các dấu hiệu và triệu chứng của sưng chân răng bao gồm:
- Đau răng dữ dội, dai dẳng, đau nhói có thể lan đến xương hàm, cổ hoặc tai
- Nhạy cảm với nhiệt độ nóng và lạnh
- Nhạy cảm với áp lực của việc nhai hoặc cắn
- Sốt
- Sưng mặt hoặc má
- Đau, sưng hạch bạch huyết dưới hàm hoặc ở cổ
- Đột ngột chảy ra dịch có mùi hôi và có vị hôi, mặn trong miệng và giảm đau nếu áp xe bị vỡ

Nguyên nhân bị sưng chân răng
Áp xe quanh răng xảy ra khi vi khuẩn xâm nhập vào tủy răng, phần trong cùng của răng có chứa các mạch máu, dây thần kinh và mô liên kết. Nguyên nhân thường do:
- Mọc răng khôn: Mọc răng khôn là một quá trình tự nhiên. Tuy nhiên, đôi khi sự thay đổi này có thể khiến răng bị sưng tấy. Răng khôn có thể bị sưng tấy nếu bị va chạm, có nghĩa là răng bị kẹt dưới nướu của bạn. Nếu răng khôn mọc lệch, chúng có thể tạo ra khoảng trống để vi khuẩn có thể lây nhiễm sang nướu, dẫn đến sưng và đau.
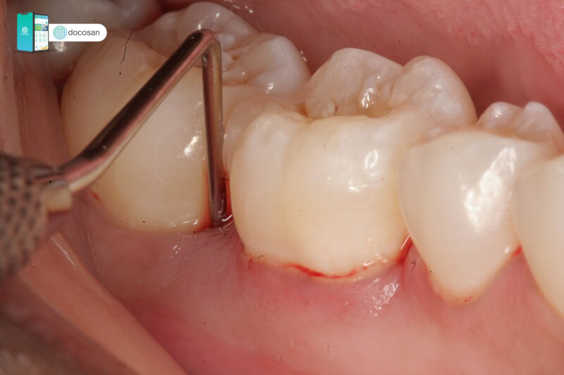
- Viêm nướu: Viêm nướu là nguyên nhân phổ biến khiến nướu sưng húp, tấy đỏ, có thể chảy máu sau khi bạn đánh răng. May mắn thay, viêm lợi có thể được điều trị tại nhà bằng cách chăm sóc răng miệng đúng cách, hạn chế đồ ăn vặt và đồ uống có đường,… Tuy nhiên, nếu đang gặp phải các triệu chứng viêm lợi, bạn vẫn nên liên hệ với chuyên gia nha khoa để được thăm khám và điều trị triệt để.
- Thiếu Vitamin C: Thiếu Vitamin C có thể gây sưng tấy chân răng. Hãy bổ sung vitamin C để cải thiện tình trạng sưng chân răng. Nếu bạn nghĩ rằng bạn có thể bị thiếu Vitamin C, hãy nói chuyện với các chuyên gia nha khoa và y tế của bạn, vì họ có thể xác định bạn nên bổ sung bao nhiêu vào chế độ ăn uống của mình.
- Thuốc và các nguyên nhân khác: Một số loại thuốc cũng có thể có tác dụng phụ là sưng chân răng. Nếu bạn nhận thấy kem đánh răng hoặc nước súc miệng gây kích ứng răng và nướu, hãy ngừng sử dụng cho đến khi bạn gặp nhà cung cấp dịch vụ chăm sóc sức khỏe.

Cách chữa trị sưng chân răng
Chân răng bị sưng sẽ không biến mất nếu không điều trị dứt điểm. Nếu áp xe bị vỡ, cơn đau có thể giảm đáng kể nhưng bạn vẫn cần điều trị nha khoa. Nếu áp xe không tiêu, nhiễm trùng có thể lan đến hàm và các vùng khác trên đầu và cổ của bạn. Bạn thậm chí có thể bị nhiễm trùng huyết – một bệnh nhiễm trùng đe dọa tính mạng lan ra khắp cơ thể.
Nếu bạn bị suy giảm hệ thống miễn dịch và bạn để áp xe răng không được điều trị, nguy cơ nhiễm trùng lan rộng của bạn sẽ tăng lên nhiều hơn.
Bước đầu tiên trong quá trình điều trị là bạn nên liên hệ với các chuyên gia nha khoa. Họ sẽ có thể xác định nguyên nhân gây sưng lợi và chân răng của bạn sau đó đưa ra phương pháp điều trị tốt nhất.
Thông thường, các nha sĩ sẽ điều trị áp xe răng bằng cách dẫn lưu và loại bỏ nhiễm trùng. Họ có thể “cứu” chiếc răng của bạn bằng phương pháp điều trị tủy răng, nhưng trong một số trường hợp, có thể phải nhổ răng. Nếu để áp xe răng không được điều trị kịp thời có thể dẫn đến các biến chứng nghiêm trọng, thậm chí nguy hiểm đến tính mạng.
Tại nhà, bạn có thể súc miệng bằng nước muối ấm, sẽ giúp giảm bớt vi khuẩn. Thuốc giảm đau không kê đơn như acetaminophen và ibuprofen cũng có thể giúp giảm sưng và đau nhức.

Cách phòng ngừa sưng chân răng tái phát
Tránh sâu răng là điều cần thiết để ngăn ngừa sưng chân răng. Để có quy trình chăm sóc răng miệng tốt để tránh sâu răng, bạn cần:
- Sử dụng nước uống có chất fluoride
- Đánh răng ít nhất hai lần/ngày với kem đánh răng có chứa florua
- Sử dụng chỉ nha khoa hoặc dụng cụ làm sạch kẽ răng để làm sạch kẽ răng hàng ngày
- Thay bàn chải đánh răng của bạn ba hoặc bốn tháng một lần, hoặc bất cứ khi nào lông bàn chải bị sờn
- Ăn thức ăn lành mạnh, hạn chế đồ có đường và đồ ăn nhẹ giữa các bữa ăn chính
- Đến nha sĩ của bạn để kiểm tra thường xuyên 6 tháng/lần
- Cân nhắc sử dụng chất khử trùng hoặc nước súc miệng có chứa florua để răng của bạn có một lớp bảo vệ chống sâu răng
Cần lưu ý, không giống như vết bầm tím hoặc vết cắt nhẹ trên da, sưng chân răng có thể là một vấn đề nghiêm trọng và bạn cần được điều trị kịp thời. Các nha sĩ có thể kê đơn thuốc kháng sinh và thuốc không chỉ điều trị cơn đau mà còn ngăn chặn nhiễm trùng. Thêm vào đó, điều trị càng sớm, bạn càng sớm loại bỏ được cơn đau do sưng răng và lấy lại nụ cười khỏe mạnh, tự tin, không đau.
Bài viết được tham khảo từ bác sĩ và các nguồn tư liệu đáng tin cậy trong và ngoài nước..
Nguồn tham khảo: medicalnewstoday.com
