Bệnh Angelman hay còn gọi là hội chứng thiên thần là một căn bệnh di truyền hiếm gặp, sự khiếm khuyết hoặc đột biến gen gây ra những vấn đề sức khỏe cho trẻ về thể chất và trí tuệ. Bệnh hiện nay vẫn chưa có phương pháp điều trị, tuy nhiên có thể phòng ngừa bằng các xét nghiệm di truyền học tiền hôn nhân và trước sinh. Hãy cùng Docosan tìm hiểu về căn bệnh này.
Tóm tắt nội dung
- 1 Bệnh Angelman là bệnh gì?
- 2 Nguyên nhân của bệnh Angelman
- 3 Các triệu chứng của bệnh Angelman
- 4 Đối tượng có nguy cơ mắc bệnh Angelman
- 5 Làm sao để chẩn đoán bệnh Angelman?
- 6 Bệnh Angelman có điều trị được không?
- 7 Phòng ngừa hội chứng thiên thần như thế nào?
- 8 Các phòng khám bệnh Angelman uy tín
- 9 Câu hỏi thường gặp về bệnh Angelman
- 10 Lời kết
Bệnh Angelman là bệnh gì?
Bệnh Angelman, hay còn gọi bằng những tên gọi khác nhau như hội chứng Angelman, hội chứng thiên thần là một chứng bệnh di truyền, do các rối loạn về gen gây nên. Bệnh này rất hiếm gặp, với tần suất 1/15,000-20,000 trẻ em. Những người mắc hội chứng Angelman có tuổi thọ tương đương với những người bình thường, tuy nhiên, họ cần được chăm sóc suốt cuộc đời.
Bệnh Angelman lần đầu tiên được phát hiện bởi tiến sĩ Y khoa người Anh Harry Angelman khi quan sát thấy những đứa trẻ chậm phát triển trí tuệ nghiêm trọng, bất thường trong dáng đi, động kinh, rối loạn vận động và luôn có gương mặt vui vẻ.
Nguyên nhân của bệnh Angelman
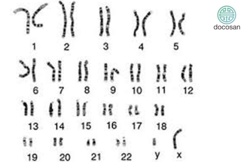
Hội chứng Angelman gây ra bởi sự khiếm khuyết hoặc bất hoạt gen UBE3A trên nhiễm sắc thể số 15.
Bình thường, 1 đứa trẻ sinh ra sẽ sẽ có 2 nhiễm sắc thể số 15, một cái nhận từ bố và một cái nhận từ mẹ. Ở một vài khu vực trong não bộ, chỉ có bản sao gen UBE3A trên nhiễm sắc thể 15 nhận từ người mẹ là hoạt động, vì thế khi gen UBE3A nhận từ người mẹ bị khiếm khuyết hoặc đột biến, các khu vực đó tại não sẽ không còn gen UBE3A nào nữa cả, dẫn đến các rối loạn nghiêm trọng về thần kinh và trí tuệ.

Trong một vài trường hợp hiếm hoi, đứa trẻ nhận cả 2 nhiễm sắc thể 15 của bố mà không có cái nào của mẹ cũng sẽ gây ra bệnh Angelman, ngược lại với hội chứng Prader-Willi, trẻ nhận cả 2 nhiễm sắc thể 15 của mẹ mà không nhận được cái nào từ bố. 2 hội chứng này có các triệu chứng tương tự nhau nên dễ bị nhầm lẫn.

Các triệu chứng của bệnh Angelman
Các đứa trẻ mắc bệnh Angelman khi mới sinh ra vẫn bình thường, có thể quan sát thấy đầu nhỏ và có độ phẳng ở phía sau đầu, tuy nhiên triệu chứng không rõ rệt mà phải khi bé lớn khoảng 6-12 tháng tuổi, các triệu chứng dễ nhận biết hơn bởi:
- Gặp khó khăn trong việc bú, mút và nuốt
- Chậm phát triển vận động so với độ tuổi, ví dụ 1 tuổi mới biết bò, 3 tuổi mới biết đi, chậm nói hoặc nói khó, không nói được.
Khi trẻ lớn hơn, việc chẩn đoán trở nên dễ dàng hơn do các triệu chứng được thể hiện ngày càng rõ rệt, bệnh thường được chẩn đoán khi trẻ được 18 tháng-7 tuổi, với các triệu chứng như:
- 90% trẻ sẽ xuất hiện động kinh khi được 2-3 tuổi, và có thể kéo dài suốt cuộc đời
- Dáng đi bất thường, khó giữ được thăng bằng, tướng đi thô cứng như người máy, hay vỗ tay hoặc đưa 2 tay lên khi đi.
- Luôn có vẻ mặt hạnh phúc và cười
- Khiếm khuyết về trí tuệ và lời nói
- Trẻ dễ bị kích động và hiếu động, không thể tập trung lâu dài, thường xuyên chuyển từ hoạt động này sang hoạt động khác.
- Ngủ rất ít, khó ngủ

Theo thời gian thì một số triệu chứng có vẻ thuyên giảm, khi đến tuổi trưởng thành, những người bị mắc bệnh Angelman sẽ:
- Vấn đề về giấc ngủ và tính hiếu động, dễ bị kích thích sẽ giảm dần theo tuổi mà có thể không cần dùng thuốc
- Triệu chứng động kinh vẫn còn
- Các khiếm khuyết về mặt trí tuệ không thay đổi, người bệnh bị thiểu năng trí tuệ, nói năng khó, không lưu loát.
- Cột sống bị cong vẹo
- Có xu hướng béo phì, mặt tròn trĩnh
Hội chứng Angelman là một tình trạng di truyền gây ra bởi sự thiếu mất hoặc lỗi trên một phần của gen UBE3A trên chromosome 15.
Đối tượng có nguy cơ mắc bệnh Angelman
Hội chứng thiên thần (bệnh Angelman) là một tình trạng di truyền hiếm gặp. Dưới đây là một số yếu tố có thể gia tăng nguy cơ mắc hội chứng thiên thần:
- Một trong hai bố mẹ là người mang một đột biến gen UBE3A, gen này đóng vai trò quan trọng trong phát triển não bộ.
- Ra keo tim hoặc các khuyết tật khác trên chromosome 15.
- Dự đoán sự xuất hiện hội chứng từ các kết quả xét nghiệm tiền lâm sàng hoặc xét nghiệm di truyền.
Tuy nhiên, chỉ có một phần nhỏ những trẻ em mắc hội chứng thiên thần được xác định nguyên nhân di truyền cụ thể. Đối với phần lớn các trường hợp, nguyên nhân xảy ra của hội chứng thiên thần vẫn chưa rõ ràng.
Vì vậy, nếu bạn có bất kỳ lo ngại nào hoặc có lịch sử gia đình liên quan đến bệnh Angelman, bạn nên tham khảo ý kiến của một chuyên gia y tế hoặc di truyền học để được tư vấn và đánh giá cụ thể nhất.
Làm sao để chẩn đoán bệnh Angelman?
Vì hội chứng thiên thần là một bệnh di truyền rối loạn về gen, nên để chẩn đoán bệnh, cần đến các xét nghiệm về gen cũng như di truyền học ở cả bé và bố mẹ để tìm ra chính xác sự thay đổi di truyền.

Với sự phát triển của ngành di truyền học, hiện nay có thể phát hiện ra các bất thường về gen và nhiễm sắc thể từ khi còn giai đoạn bào thai, vì vậy bạn có thể làm các xét nghiệm tầm soát trước sinh, đặc biệt khi gia đình có tiền sử mắc hoặc đã có con mắc hội chứng này.
Bệnh Angelman có điều trị được không?
Cho đến hiện nay, vẫn chưa có phương pháp điều trị bệnh này triệt để, thông thường chỉ dùng thuốc và kết hợp với chăm sóc trị liệu để cải thiện khả năng vận động, ngôn ngữ và giao tiếp ở trẻ như:
- Thuốc chống động kinh để kiểm soát các cơn động kinh
- Thực hiện các bài vật lý trị liệu để cái thiện khả năng đi đứng của trẻ
- Thực hiện các liệu pháp về ngôn ngữ và giao tiếp với các chuyên gia để cải thiện khả năng nói và biểu đạt
- Giáo dục hành vi và tâm lý
- Đeo nẹp lưng hoặc phẫu thuật để phòng ngừa và điều trị khi cột sống cong vẹo
Phòng ngừa hội chứng thiên thần như thế nào?
Hội chứng này xuất hiện do sự khiếm khuyết hoặc đột biến gen được di truyền từ bố mẹ, vì vậy việc tầm soát di truyền tiền hôn nhân cũng như trước sinh giúp phát hiện ra sớm các bất thường về gen và nhiễm sắc thể, từ đó có thể lập ra kế hoạch mang thai và ngăn ngừa căn bệnh này xảy ra.
Hãy trao đổi với bác sĩ khi gia đình có người mắc hoặc đã từng sinh con mắc hội chứng này để được tư vấn và có các kế hoạch phù hợp.

Các phòng khám bệnh Angelman uy tín
Trung Tâm Xét Nghiệm Hanalab – Gò Vấp, TP.HCM
Trung tâm xét nghiệm Hanalab cung cấp đa dạng các dịch vụ chăm sóc sức khỏe ban đầu bằng giải pháp công nghệ 4.0 tiên tiến, toàn diện, chuẩn y khoa.
Các dịch vụ tại Trung tâm xét nghiệm Hanalab:
- Kiểm tra sức khỏe bằng các xét nghiệm từ cơ bản đến nâng cao.
- Tư vấn duy trì sức khỏe bằng dinh dưỡng, thuốc/thực phẩm chức năng cùng chế độ chăm sóc tại nhà chuẩn y khoa.
- Tư vấn rõ ràng, chi tiết các bệnh viện uy tín trong và ngoài nước.
- Riêng lĩnh vực xét nghiệm, Hanalab đánh dấu nhiều bước tiến với sự đa dạng các danh mục, đáp ứng nhu cầu ngày càng cao của quý khách như: Xét nghiệm tiền hôn nhân, xét nghiệm máu bằng ống chân không tiên tiến, tầm soát ung thư,…
Trung Tâm Xét Nghiệm Tanimed – Tây Ninh
Phòng khám tiêm chủng vắc xin Tanimed thuộc Công ty TNHH Y Khoa Tây Ninh được thành lập với mong muốn đồng hành với các cơ sở y tế dự phòng giúp phòng bệnh cho người dân với dịch vụ tiêm chủng vắc xin an toàn, hiện đại và dịch vụ cao cấp.
Đến với TANIMED, khách hàng sẽ được các Bác sĩ chuyên khoa kiểm tra sức khỏe và tư vấn các mũi tiêm vắc xin phù hợp với lứa tuổi, cùng với đầy đủ các trang thiết bị y tế đạt chuẩn cao cấp. Ngoài ra phòng khám còn có các phòng cho mẹ và bé, phòng thay tả, khu vui chơi trẻ em, khu vực chờ trước và sau tiêm rộng rãi, thoáng mát.
Ngoài ra, tại đây, mỗi khách hàng sẽ được cấp mã riêng để tra cứu về lịch sử tiêm chủng và không cần khai báo lại ở lần tiêm kế tiếp, cũng như mọi thông tin của khách hàng đều được bảo mật.
Trung Tâm Công Nghệ Y Khoa DNA – DNA Medical Technology – Quận 2, TP.HCM
Trung tâm Công nghệ Y Khoa DNA là đơn vị cung cấp dịch vụ phân tích, giải mã gen trong việc phòng ngừa, điều trị ung thư và các bệnh di truyền như Tim mạch, Tiểu đường, Đột quỵ,…Với các công nghệ độc quyền, cơ sở vật chất đạt tiêu chuẩn quốc tế, Trung tâm Công nghệ Y Khoa DNA có thể giúp khách hàng biết thêm thông tin về sức khỏe di truyền.
Trung tâm Công nghệ Y Khoa DNA chuyên về:
– Tầm soát ung thư di truyền qua xét nghiệm gen:
– Chăm sóc sức khỏe và phát triển toàn diện dành cho Nữ & Nam
– Phân tích Gen – Định hướng toàn diện
– Xét nghiệm tiền mang thai cặp vợ chồng – FamPlan
– Hỗ trợ chẩn đoán chuyên khoa
Trung tâm Công nghệ Y Khoa DNA tự hào là đơn vị cung cấp giải pháp toàn diện, uy tín nhất về ứng dụng giải mã gen trong việc phòng ngừa và điều trị ung thư, hơn 6.000 bệnh và đặc tính di truyền khác dựa trên các đột biến gen trong cơ thể. Kết quả phân tích cho thấy nguy cơ mắc các bệnh di truyền như Tim Mạch, Angelman,Tiểu Đường, Đột Quỵ, Parkinson, Alzheimer,… cho phép khách hàng có thêm thông tin về bản thân và sức khỏe di truyền, và bắt đầu hành trình làm chủ cuộc sống.
Trung tâm Xét nghiệm Gentis Hà Nội
Trong 10 năm Trung tâm Xét nghiệm Gentis đã khẳng định chất lượng vượt trội với sự chính xác – tin cậy – nhanh chóng, giữ vững niềm tin trọn vẹn cho đối tác và quý khách hàng. Có hơn 100 đối tác là các bệnh viện lớn đã và đang tin tưởng sử dụng các dịch vụ của Gentis cung cấp như: Bệnh viện PSTW, Bệnh viện phụ sản Hà Nội, Bệnh viện ung bướu HN, Bệnh viện Bạch Mai,… Gentist có sự hợp tác của đội ngũ các nhà khoa học, chuyên gia hoạt động lâu năm trong lĩnh vực di truyền và công nghệ sinh học.
Trung Tâm Xét Nghiệm Greenlab – Hà Nội
Trung tâm xét nghiệm Greenlab với đội ngũ chuyên gia giỏi, giàu kinh nghiệm, nhiều giáo sư, bác sĩ hàng đầu; các kỹ thuật viên xét nghiệm và cán bộ lấy mẫu đều được đào tạo bài bản đảm bảo đem lại sự yên tâm cho khách hàng.
Bên cạnh đó, Trung tâm xét nghiệm Greenlab sở hữu hệ thống máy móc – trang thiết bị hiện đại đáp ứng các tiêu chuẩn CE-IVD của Châu Âu và FDA của Hoa Kỳ. Kết quả xét nghiệm chính xác, tin cậy vì được công nhận theo tiêu chuẩn quốc tế ISO 15189:2012.
Câu hỏi thường gặp về bệnh Angelman
Bệnh Angelman có nguy hiểm không?
Bệnh Angelman là một tình trạng di truyền hiếm gây ra những vấn đề trong phát triển não bộ, các khó khăn trong việc điều chỉnh chuyển động và khả năng giao tiếp. Bệnh này không nguy hiểm cho tính mạng, nhưng có thể ảnh hưởng đến chất lượng cuộc sống và cần chăm sóc, hỗ trợ đặc biệt từ gia đình cùng các chuyên gia y tế.
Bệnh Angelman có lây không?
Bệnh Angelman không phải là một bệnh lây nhiễm. Đây là một căn bệnh di truyền, do một đột biến trên một gen cụ thể. Bệnh này thường được di truyền từ một trong hai cha mẹ hoặc có thể xảy ra do một đột biến mới trong gen trong quá trình hình thành trứng hoặc tinh trùng.
Bệnh Angelman kiêng gì?
Không có chế độ ăn kiêng cụ thể được khuyến nghị cho người mắc bệnh Angelman. Tuy nhiên, để duy trì sức khoẻ tổng thể, bạn nên:
Ăn một chế độ cân đối và đa dạng, bao gồm rau, củ, quả, ngũ cốc, thịt và cá.
Hạn chế lượng đường.
Cung cấp đủ nước.
Lời kết
Bệnh Angelman hay hội chứng thiên thần, là một căn bệnh di truyền hiếm gặp, do sự khiếm khuyết hoặc đột biến gen. Bệnh gây ra các khiếm khuyết nặng nề về thần kinh, trí tuệ và thể chất.
Hiện nay vẫn chưa có phương pháp điều trị khỏi căn bệnh này, mà tập trung chủ yếu vào trị liệu hành vi, ngôn ngữ và các chứng động kinh, cong vẹo cột sống mà bệnh gây ra. Xét nghiệm di truyền học là cần thiết để chẩn đoán ra bệnh cũng như có thể ngăn ngừa sinh con ra mắc hội chứng này với các xét nghiệm tiền hôn nhân và trước sinh. Hy vọng bài viết trên đã cung cấp cho quý bạn đọc các thông tin cần thiết về căn bệnh
Bài viết được tham khảo từ bác sĩ và các nguồn tư liệu đáng tin cậy trong và ngoài nước. Tuy nhiên, Docosan Team khuyến khích bệnh nhân hãy tìm và đặt lịch hẹn với bác sĩ có chuyên môn để điều trị.
Tài liệu tham khảo: angelman.org, mayoclinic.org
