Cười hở lợi không phải là một tình trạng bệnh lý răng miệng nghiêm trọng nhưng lại gây mất thẩm mỹ của nụ cười và hàm răng. Vậy nguyên nhân và những cách điều trị chứng cười hở lợi là gì? Hãy cùng Docosan tìm hiểu trong bài viết sau đây nhé!
Tóm tắt nội dung
- 1 Cười hở lợi là gì?
- 2 Nguyên nhân gây cười hở lợi
- 3 Các mức độ cười hở lợi
- 4 Hở lợi ảnh hưởng như thế nào tới thẩm mỹ
- 5 Phương pháp điều trị cười hở lợi
- 6 Ưu điểm của phẫu thuật chữa cười hở lợi
- 7 Lưu ý trước khi điều phẫu thuật cười hở lợi
- 8 Các biến chứng nguy hiểm có thể gặp khi thực hiện phẫu thuật
- 9 Lưu ý khi điều trị cười hở lợi
Cười hở lợi là gì?
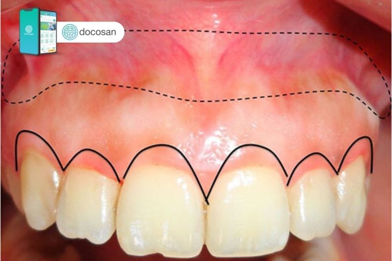
Cười hở lợi, hay còn gọi là Gummy Smile, là tình trạng khi cười, phần lợi ở hàm trên bị lộ ra quá nhiều. Điều này khiến nụ cười mất đi sự cân đối và hài hòa, gây ảnh hưởng đến thẩm mỹ khuôn mặt. Theo các chuyên gia nha khoa, khi cười, phần nướu lộ ra trên 3mm tính từ chân răng đến mép vành môi thì được xem là cười hở lợi.

Nguyên nhân gây cười hở lợi
Cười hở lợi vì những nguyên nhân chính sau đây:
- Xương hàm trên phát triển quá mức: Khi xương hàm trên phát triển quá mức thì sẽ làm lộ nhiều lợi hơn khi cười.
- Cơ nâng môi trên hoạt động quá mạnh: Cơ này kéo môi lên cao quá mức, khiến lợi lộ ra nhiều khi cười.
- Môi trên quá ngắn: Môi ngắn không đủ che phủ phần lợi, dẫn đến hở lợi khi cười.
- Nướu dày bẩm sinh: Lợi quá dày làm cho phần lợi lộ ra nhiều hơn so với bình thường.
- Đường cười cao: Cấu trúc cười tự nhiên cao hơn, khiến phần lợi bị lộ ra nhiều khi cười.
Các mức độ cười hở lợi
Các mức độ cười hở lợi được chia thành các mức độ sau:
- Mức độ nhẹ: Phần lợi lộ ra ít hơn 25% chiều dài răng, gây hở lợi nhẹ nhưng chưa ảnh hưởng nhiều đến thẩm mỹ.
- Mức độ trung bình: Lợi lộ ra từ 25% đến 50% chiều dài răng, bắt đầu ảnh hưởng đến sự cân đối của nụ cười.
- Mức độ nặng: Lợi lộ ra từ 50% đến 100% chiều dài răng, tạo ra nụ cười hở lợi, gây mất thẩm mỹ rõ rệt.
- Mức độ rất nặng: Lợi lộ ra nhiều hơn 100% chiều dài răng, gây ra sự mất thẩm mỹ nghiêm trọng và có thể cần can thiệp phẫu thuật để khắc phục.
Hở lợi ảnh hưởng như thế nào tới thẩm mỹ
- Ảnh hưởng đến ngoại hình: Gây ra sự thiếu tự tin, làm giảm chất lượng trong giao tiếp xã hội.
- Ảnh hưởng đến tướng mạo: Theo quan niệm nhân tướng học, cười hở lợi có thể tác động đến vận mệnh, đường tình duyên và tài lộc của người đó.
Phương pháp điều trị cười hở lợi
Tùy thuộc vào nguyên nhân chính khiến bạn bị cười hở lợi, bác sĩ sẽ có cách chữa cười hở lợi triệt để đem lại hiệu quả thẩm mỹ, bao gồm:
Mài xương ổ
Mục tiêu của phẫu thuật mài xương ổ là để chữa trị cho người bị cười hở lợi do nguyên nhân xương ổ răng quá dày hoặc gồ ghề nhiều. Khi đó, xương ổ răng của bạn sẽ được mài ở vị trí bờ viền và mặt ngoài xương ổ răng. Sau khi mài hoàn tất, lợi răng sẽ được khâu may lại tạo hình lại như hàm răng bình thường.
Cắt xương hàm chữa cười hở lợi
Cách này được áp dụng khi nguyên nhân cười hở lợi là do khung xương hàm trên hoặc dưới phát triển quá mạnh. Khi đó, bệnh nhân sẽ được phẫu thuật chữa cười hở lợi theo đường gãy Lefort I trong giải phẫu hàm mặt.
Giảm trương lực cơ vành môi
Chỉ định này được thực hiện bằng biện pháp tiêm hoạt chất Botulinum Toxin vào cơ kéo môi trên hay dưới, hoặc là tiến hành tiểu phẫu cắt một phần cơ của môi, má. Tác dụng của tiểu phẫu là nhằm kiểm soát không cho cơ của môi kéo lên cao nhiều khi bạn cười nên giảm hẳn biểu hiện cười hở lợi.
Phương pháp cắt lợi
Cách khắc phục cười hở lợi này áp dụng hiệu quả khi lợi của bạn phát triển quá mạnh từ nhỏ hoặc lợi bám thấp và phì đại. Cắt giảm bớt lợi rồi phẫu thuật tạo hình kết hợp sẽ giúp làm mỏng bờ nướu và không còn bị lộ nhiều ra ngoài khi cười.
Chỉnh nha kết hợp cắt lợi
Nếu nguyên nhân cười hở lợi do răng dài bất thường thì bác sĩ sẽ dùng chỉnh nha kết hợp cắt lợi. Phương pháp này chủ yếu là chỉnh nha để kéo răng lún lên cao sau đó cắt lợi tạo hình.

Cắt lợi kết hợp mài xương ổ
Phẫu thuật mài xương ổ răng là phương pháp điều trị đối với những trường hợp cười hở lợi do cả xương ổ răng và lợi đều quá dày hoặc phát triển không đều. Đây là một trường hợp không phổ biến do đó thường ít gặp trong thực tế.
Tiêm Botox
Đây là một trong những phương pháp điều trị cười hở lợi mà không cần can thiệp phẫu thuật. Phương pháp này phù hợp nhất khi môi trên bị kéo lên quá cao so với viền nướu khi cười. Đặc biệt, vì không sử dụng dao kéo nên những ai không muốn phẫu thuật có thể ưu tiên lựa chọn phương pháp này.
Tiêm Hyaluronic acid
Tiêm Hyaluronic acid là một phương pháp không cần phẫu thuật giúp cải thiện tình trạng cười hở lợi. Hyaluronic acid được tiêm vào vùng môi trên để làm đầy môi, từ đó giúp môi che phủ phần lợi lộ ra khi cười. Phương pháp này an toàn, ít đau đớn và cho kết quả nhanh chóng. Tuy nhiên, hiệu quả chỉ duy trì trong thời gian ngắn (khoảng 6-12 tháng) và cần tiêm lại để duy trì kết quả. Đây là lựa chọn phù hợp cho những ai muốn cải thiện nụ cười mà không muốn phẫu thuật.
Ưu điểm của phẫu thuật chữa cười hở lợi
Phẫu thuật chữa cười hở lợi không những giúp bạn lấy lại được nụ cười đẹp trọn vẹn mà còn có những ưu điểm sau sẽ thuyết phục cho bạn tại sao nên thực hiện điều trị.
Mang lại nụ cười đẹp nhanh chóng
Một trong những ưu điểm lớn nhất của phẫu thuật cười hở lợi là khả năng mang lại kết quả thẩm mỹ nhanh chóng. Cách phục hồi cười hở lợi bằng phương pháp phẫu thuật cho phép giải quyết tất cả các nguyên nhân bất thường liên quan tới răng, nướu, xương hàm và cơ nâng môi. Với sự hỗ trợ của công nghệ hiện đại và tay nghề cao của các bác sĩ chuyên khoa, quá trình phẫu thuật diễn ra nhanh chóng và hiệu quả. Người bệnh có thể thấy rõ sự thay đổi ngay sau khi hồi phục, mang lại sự hài lòng về mặt thẩm mỹ.
Mức an toàn cao
Phẫu thuật cười hở lợi sẽ không phức tạp và đảm bảo an toàn cho bạn. Nhờ sử dụng các công nghệ hiện đại như laser hoặc dao mổ nhỏ gọn, bác sĩ có thể thực hiện phẫu thuật một cách chính xác, giúp giảm thiểu tổn thương cho nướu, răng và xương hàm. Điều này không chỉ rút ngắn thời gian hồi phục mà còn giúp người bệnh không phải lo lắng về biến chứng sau phẫu thuật.
Hiệu quả suốt đời
Một trong những ưu điểm đáng chú ý nhất của phẫu thuật chữa cười hở lợi là tính hiệu quả lâu dài, thậm chí suốt đời vì có thể giải quyết triệt để nguyên nhân gốc rễ của vấn đề. Chỉ một lần phẫu thuật duy nhất nhưng tình trạng cười hở lợi được khắc phục trọn đời, không tái phát cũng như không cần phải thực hiện thêm các biện pháp can thiệp khác sau phẫu thuật trong tương lai.
Hơn nữa, các nghiên cứu lâm sàng đã chỉ ra rằng tỷ lệ thành công của các ca phẫu thuật cười hở lợi là rất cao và hầu hết bệnh nhân đều hài lòng với kết quả sau phẫu thuật. Điều này làm cho phương pháp này trở thành một lựa chọn lý tưởng cho những ai muốn khắc phục tình trạng cười hở lợi một cách triệt để và lâu dài.

Thăm khám kỹ càng
Trước khi tiến hành bất kỳ quy trình điều trị nào, kể cả là phẫu thuật cười hở lợi, bác sĩ sẽ thực hiện quá trình thăm khám kỹ lưỡng để đảm bảo chẩn đoán chính xác nguyên nhân cũng như mức độ nghiêm trọng của tình trạng. Việc thăm khám được thực hiện bao quát cả khoang miệng khoang miệng, bao gồm răng, nướu, xương hàm và các cơ xung quanh môi. Sau đó bác sĩ có thể sử dụng thêm các máy móc và trang thiết bị chuyên dụng nhằm phác đồ điều đánh dấu và trị chính xác nhất liệu pháp điều trị phù hợp cho bạn.
Vết thương hồi phục nhanh
Một ca phẫu thuật chữa cười hở lợi chỉ diễn ra trong khoảng từ 30 – 60 phút với các đường cắt nhỏ đảm bảo không để lại sẹo sau phẫu thuật và liền thương nhanh chóng do ít xâm lấn. Bên cạnh đó, với sự chăm sóc hậu phẫu đúng cách, bệnh nhân thường chỉ mất từ vài ngày đến một tuần để vết thương hồi phục hoàn toàn. Trong khoảng thời gian này, bệnh nhân có thể trở lại sinh hoạt bình thường và không cần lo lắng về biến chứng lâu dài.
Lưu ý trước khi điều phẫu thuật cười hở lợi
Trước khi thực hiện phẫu thuật, bạn nên tìm hiểu kỹ về các phương pháp điều trị và tham khảo ý kiến của bác sĩ chuyên khoa. Đồng thời, cần tuân thủ những chỉ định về dinh dưỡng và sinh hoạt để đảm bảo quá trình phẫu thuật diễn ra thuận lợi.
Các biến chứng nguy hiểm có thể gặp khi thực hiện phẫu thuật
Mặc dù phẫu thuật cười hở lợi là một thủ thuật an toàn, nhưng vẫn có thể xảy ra một số biến chứng như:
- Nhiễm trùng sau phẫu thuật.
- Chảy máu kéo dài.
- Sưng tấy và đau đớn kéo dài.
- Không đạt được kết quả mong muốn.
Để đảm bảo an toàn và hiệu quả, bạn cần tìm hiểu kỹ về các biến chứng có thể xảy ra và lựa chọn cơ sở nha khoa uy tín. Bạn nên đặt lịch khám nha khoa tại Docosan. Docosan là nền tảng đặt lịch khám nha khoa trực tuyến uy tín, giúp bạn dễ dàng tìm kiếm và lựa chọn nha sĩ, phòng khám phù hợp với nhu cầu của mình.

Lưu ý khi điều trị cười hở lợi
- Lựa chọn nha khoa uy tín: Hãy chọn một cơ sở nha khoa có đội ngũ bác sĩ có chuyên môn, kinh nghiệm, cơ sở vật chất hiện đại.
- Chăm sóc răng miệng đúng cách: Sau khi phẫu thuật, bạn cần chăm sóc răng miệng đúng cách để đảm bảo vết thương nhanh lành và tránh nhiễm trùng.
- Tránh các thức ăn cứng và nóng: Trong thời gian đầu sau phẫu thuật, bạn nên tránh các thức ăn cứng và nóng để tránh làm tổn thương đến vết thương.
- Tái khám định kỳ: Bạn cần tái khám định kỳ theo chỉ định của bác sĩ để theo dõi quá trình lành thương và điều chỉnh nếu cần thiết.
Xem thêm:
- Mọc răng khôn đau mấy ngày? Cách giảm đau hiệu quả
- Trồng răng Implant giá bao nhiêu? Bảng giá chi phí mới nhất 2024
- Ghép nướu là gì – Chi phí và quy trình phẫu thuật
Với những thông tin trên, hy vọng bạn đã hiểu rõ hơn về tình trạng cười hở lợi và các phương pháp điều trị. Nếu thấy bài viết này hữu ích, hãy chia sẻ cho bạn bè và người thân cùng biết nhé!
Nguồn tham khảo:
1. What Causes a Gummy Smile and Can it Be Fixed?
- Link tham khảo:
- Ngày tham khảo: 30/09/2024
2. Excessive Gingival Display
- Link tham khảo: https://www.ncbi.nlm.nih.gov/books/NBK470437/
- Ngày tham khảo: 30/09/2024
3. What to Know About a Gummy Smile
- Link tham khảo: https://www.healthline.com/health/gummy-smile
- Ngày tham khảo: 30/09/2024
