Viêm chân răng có mủ là sự báo hiệu tình trạng viêm nhiễm tại chỗ hay lan tỏa trong khoang miệng. Mắc phải viêm chân răng có mủ chứng tỏ sức khỏe răng miệng đang bị ảnh hưởng nghiêm trọng và nếu không điều trị kịp thời có thể dẫn đến những biến chứng nghiêm trọng. Vậy triệu chứng viêm mủ chân răng là gì? Chữa viêm chân răng có mủ như thế nào? Hãy cùng Doctor có sẵn tìm hiểu trong bài viết dưới đây!
Tóm tắt nội dung
Tổng quan về viêm chân răng có mủ
Cấu trúc giải phẫu của răng gồm các phần: lớp men răng ở ngoài cùng, lớp ngà răng ở giữa và cuối cùng là 1 khoang rỗng ở trung tâm răng gọi là tủy răng – nơi có các tổ chức thần kinh, mạch máu và mô liên kết. Thần kinh và mạch máu từ ngoài vào tủy răng thông qua 1 lỗ ở ngọn chân răng gọi là cuống răng.
Bạn không thể nhìn thấy được chân răng bằng cách quan sát khoang miệng, vì nó được chứa trong xương ổ răng – hình dạng như một hốc xương, và bên ngoài xương ổ răng được che phủ bởi một cấu trúc nướu răng, hay còn gọi là lợi.
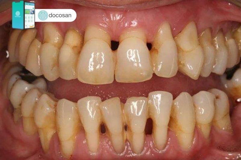
Viêm chân răng có mủ là xảy ra khi nướu răng (lợi) hoặc tủy răng bị nhiễm vi trùng, hình thành ổ abscess vùng cuống răng, nướu răng hoặc xung quanh chân răng. Viêm chân răng có mủ nếu không được điều trị kịp thời sẽ ảnh hưởng nghiêm trọng tới không chỉ riêng sức khỏe răng miệng, mà còn là sức khỏe tổng thể của bệnh nhân.

Nguyên nhân gây nên viêm chân răng có mủ
Viêm chân răng có mủ được gây ra bởi 2 nguyên nhân chính, cụ thể là:
Bệnh viêm nha chu
Thói quen không vệ sinh răng miệng đúng cách, thức ăn bị ứ đọng ở các kẽ răng hoặc nằm sâu dưới nướu răng mà không được vệ sinh hết, không thường xuyên cạo vôi răng, thói quen xỉa răng bằng tăm làm đâm vật nhọn vào nướu răng,… là những nguyên nhân chính khiến bạn bị viêm nha chu. Các triệu chứng bao gồm hôi miệng, dễ chảy máu nướu răng khi đánh răng hoặc chảy máu không rõ nguyên nhân, sưng nề, đỏ, nướu răng.
Viêm nha chu nếu không điều trị ngay, nướu chảy máu nhiều, thức ăn mắc kẹt ở kẽ răng lâu ngày sẽ là những điều kiện thuận lợi cho vi khuẩn ở miệng phát triển gây tình trạng nhiễm trùng ngày càng nặng hơn ở nướu răng. Nhiễm trùng lâu ngày sẽ sinh mủ (xác của bạch cầu và vi khuẩn), gây abscess nướu răng, nghiêm trọng hơn có thể gây tiêu xương bọc xung quanh chân răng, tụt nướu làm răng dễ lung lay. Khi đó bệnh đã tiến triển thành viêm quanh răng.
Người bị viêm quanh răng nếu không được điều trị sớm sẽ gây mất hàng loạt răng, từ đó ảnh hưởng nghiêm trọng đến không chỉ sức khỏe răng miệng mà còn sức khỏe toàn thể.

Bệnh lý vùng tủy răng
Sâu răng, chấn thương răng hoặc nhiễm trùng vùng quanh răng kéo dài có thể lan xuống khu vực cuống răng gây ảnh hưởng đến cấu trúc tủy răng, gây nhiễm trùng tủy răng và nghiêm trọng hơn có thể gây chết tủy. Đây là giai đoạn bệnh đã nghiêm trọng và không thể trì hoãn điều trị thêm bất cứ lúc nào khác.
Nhiễm trùng cuống răng nếu không được điều trị, tình trạng viêm nhiễm lâu ngày sẽ lan rộng ra toàn bộ vùng chân răng, thậm chí lan sang các răng khác nằm kế cận. Cuối cùng là phần nướu răng bao bọc xung quanh răng, khiến răng dễ lung lay và buộc bác sĩ phải loại bỏ.
Biến chứng nguy hiểm nhất của tình trạng này là vi khuẩn tại ổ nhiễm trùng này sẽ di chuyển vào hệ tuần hoàn của cơ thể, gây nhiễm trùng huyết (toàn thân) đe dọa tính mạng người bệnh.

Các nguyên nhân gây viêm chân răng có mủ khác
Ngoài 2 nguyên nhân chính nêu trên, viêm chân răng có mủ còn có thể xảy ra bởi các nguyên nhân khác như sau:
- Răng mọc lệch.
- Chấn thương khớp thái dương – hàm (khớp cắn).
- Tác dụng phụ của thuốc.
- Nội tiết
- Người mắc bệnh đái tháo đường.
- Người bị suy giảm miễn dịch.
Xem thêm: 8 cách trị sưng chân răng tại nhà đơn giản và hiệu quả
Triệu chứng của viêm chân răng có mủ
Triệu chứng thường gặp nhất ở người mắc viêm chân răng có mủ là đau răng. Cảm giác đau có thể lan tỏa ra khắp hàm, thậm chí đến cả tai và cổ. Cơn đau răng tăng lên khi ăn, do hoạt động nhai thức ăn của bệnh nhân.
Nướu xung quanh chân răng bị viêm có tình trạng sưng nề, đỏ, bệnh nhân khá đau khi bị ấn vào. Da mặt bên phía răng bị viêm cũng có thể sưng to, đỏ, nóng. Răng bị viêm sẽ dễ lung lay, có tình trạng mưng mủ ở vùng nướu xung quanh chân răng hoặc viền quanh chân răng, có thể chảy máu khi bị ấn vào.
Bạn có thể bị nổi hạch ở các vị trí dưới hàm, cổ, hạch có thể đau hoặc không đau khi ấn vào. Triệu chứng kèm theo có thể là hôi miệng, sốt. Khi khối abcess vỡ ra hoặc chảy mủ, cảm giác đau có thể giảm bớt do đã giải phóng áp lực ở ổ viêm nhiễm.
Xem thêm: Viêm nướu răng khôn

Cách trị viêm chân răng có mủ
Khi viêm chân răng có mủ, tốt nhất là đến khám bác sĩ càng sớm càng tốt để được điều trị kịp thời, đúng cách với từng nguyên nhân cụ thể gây ra tình trạng bệnh.
Nguyên tắc điều trị bệnh viêm chân răng có mủ bao gồm:
- Dùng kháng sinh để cô lập ổ nhiễm trùng.
- Làm giảm hoặc giải quyết dứt điểm các triệu chứng gây khó chịu như hạ sốt, giảm viêm, giảm đau…
- Giải quyết ổ viêm nhiễm: Sau khi thể trạng đã ổn định, kiểm soát được ổ nhiễm trùng, bác sĩ sẽ tiến hành loại bỏ ổ viêm nhiễm bằng các thủ thuật dưới đây.
Các thủ thuật vừa nêu bao gồm:
- Rạch dẫn lưu ổ abscess: bác sĩ sẽ cắt 1 vết nhỏ tại vị trí ổ abcess, và có thể nặn ép để mủ thoát ra ngoài.
- Nếu có dị vật như tăm tre, xương.. kẹt ở nướu, bác sĩ sẽ gắp chúng ra.
- Điều trị bệnh lý quanh răng: bác sĩ sẽ tiến hành lấy cao răng (nạo sạch các khối vôi bám xung quanh chân răng bằng tia nước).
- Lấy tủy: bác sĩ sẽ loại bỏ toàn bộ tủy răng, khoang chứa tủy ở trung tâm răng sẽ được vệ sinh kỹ lưỡng và lấp kín lại. Bác sĩ sẽ đề nghị bọc răng sứ cho những chiếc răng đã lấy tủy.
- Cắt cuống răng: Nếu ổ nhiễm trùng nằm ở phần cuống răng, 1 thủ thuật nhỏ sẽ được tiến hành để loại bỏ nó.
- Nhổ răng: Khi tình trạng nhiễm trùng trở nên nghiêm trọng, răng hoặc vùng nướu quanh răng bị hỏng nặng, việc nhổ bỏ răng là bắt buộc và cần thiết. Sau đó, bác sĩ sẽ nạo vét sạch sẽ vùng viêm đến tận sâu trong xương hốc răng. Nếu vùng nướu sau khi nhổ răng phục hồi tốt sau vết thương, bác sĩ sẽ tiến hành làm răng giả cho bệnh nhân.
- Nếu viêm chân răng có mủ quá nghiêm trọng, ổ abcess hình thành nang to trong xương, tổn thương lan rộng sang các răng khác thì điều trị không chỉ gói gọn ở răng ban đầu mà phải điều trị tận gốc, loại bỏ hết tất cả các nang, hoặc buộc phải nhổ bỏ các răng viêm nhiễm. Việc điều trị khi đó sẽ trở nên phức tạp hơn nhiều, đôi khi không thể điều trị dứt điểm được tình trạng bệnh.
- Điều trị các nguyên nhân gây bệnh khác như chỉnh sửa khớp cắn, chỉnh nắn răng, dùng thuốc toàn thân, kiểm soát tốt đường huyết…
Việc theo dõi sau điều trị cũng quan trọng không kém, nên tuân thủ đúng dặn dò của bác sĩ để ngăn viêm chân răng có mủ tái phát.
Phòng ngừa viêm chân răng có mủ
Việc chăm sóc răng miệng hàng ngày tuy đơn giản nhưng cực kì có ích, bạn cần chải răng theo đúng hướng dẫn của bộ y tế tối thiểu 02 lần/ngày, thay thế tăm xỉa răng bằng chỉ nha khoa, súc miệng bằng nước muối sinh lý sau mỗi bữa ăn hoặc sau khi chải răng/ dùng chỉ nha khoa.
Có một chế độ dinh dưỡng phù hợp cho sức khỏe răng miệng. Không dùng các thực phẩm chứa có tính acid cao hoặc chứa nhiều đường. Nên bổ sung thêm vitamin, calci, khoáng chất… từ các loại thực phẩm tự nhiên như đậu, sữa, trứng, nấm… Hạn chế các loại thức ăn quá nóng, lạnh hoặc cay, vì chúng dễ tổn thương răng.
Nên đi khám răng và lấy vôi răng định kỳ mỗi 6 tháng. Bác sĩ sẽ kiểm tra và điều trị kịp thời nếu họ phát hiện bất kì bệnh lý nào tại răng. Khi nhận thấy những triệu chứng của bệnh viêm chân răng có mủ, bạn cần đi khám bác sĩ răng hàm mặt ngay lập tức để được điều trị hiệu quả và kịp thời.
Cảm ơn bạn đã dành thời gian để đọc và tìm hiểu về Viêm chân răng có mủ: triệu chứng, nguyên nhân, cách điều trị tại Docosan. Chúng tôi rất vinh hạnh chào đón và nhận được sự tín nhiệm từ các bạn.
Bài viết được tham khảo từ bác sĩ và các nguồn tư liệu đáng tin cậy trong và ngoài nước.
Nguồn tham khảo: healthline.com
