Trám răng là một phương pháp nha khoa phổ biến để khắc phục các vấn đề răng miệng như sâu răng, sứt mẻ. Tuy nhiên, nhiều người lo lắng liệu trám răng có đau không và cần lưu ý gì sau khi trám. Bài viết này của Docosan sẽ giải đáp những thắc mắc đó, đồng thời cung cấp thông tin về địa chỉ trám răng an toàn, uy tín, giúp bạn yên tâm hơn khi thực hiện.
Tóm tắt nội dung
Trám răng có đau không?
Trong quá trình trám răng, hầu như người bệnh sẽ không cảm thấy đau nhức hay khó chịu nhờ việc bác sĩ đã tiến hành gây tê cục bộ tại chỗ. Do đó, trong suốt quá trình làm sạch, tạo hình và đưa vật liệu trám vào, bệnh nhân sẽ không cảm thấy đau. Sau khi thuốc tê hết tác dụng, người bệnh có thể cảm thấy ê buốt nhẹ hoặc đau nhức nhưng không đáng kể.
Tuy nhiên, trong một số trường hợp răng cần trám bị tổn thương nặng, ảnh hưởng đến vùng tủy, bác sĩ sẽ phải tiến hành điều trị tủy trước khi trám. Khi điều trị tủy, người bệnh có thể cảm thấy hơi ê buốt nhẹ hoặc khó chịu, nhưng bác sĩ vẫn sẽ tiêm tê cục bộ để hạn chế tối đa cảm giác này.
Các trường hợp cần trám răng

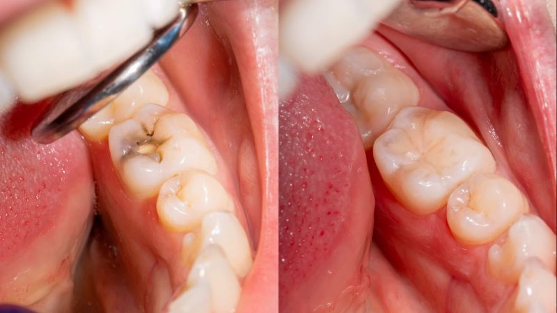
Trám răng, hay còn gọi là hàn răng, là một kỹ thuật nha khoa giúp phục hồi hình dáng ban đầu của răng bằng cách sử dụng các vật liệu an toàn như Composite, Amalgam, vàng, bạc, đồng… Phương pháp này được chỉ định trong nhiều trường hợp khác nhau tùy thuộc vào tình trạng răng miệng cụ thể của mỗi người:
- Sâu răng: Sâu răng là tình trạng vi khuẩn tấn công và tàn phá men răng, tạo thành các lỗ sâu. Trám răng giúp bịt kín những lỗ sâu này, ngăn không cho vi khuẩn tiếp tục phát triển và lan rộng, giảm đau nhức và khôi phục thẩm mỹ cho răng.
- Răng bị chấn thương: Trong các trường hợp răng bị gãy vỡ, sứt mẻ do tai nạn hoặc ăn thức ăn quá cứng, trám răng sẽ giúp khôi phục lại hình dáng răng, đảm bảo chức năng ăn nhai và thẩm mỹ. Tuy nhiên, nếu vết sứt mẻ quá lớn (vượt quá 1/3 thân răng), phương pháp trám có thể không phù hợp.
- Răng bị bào mòn: Thói quen vệ sinh răng miệng không đúng cách (chải răng quá mạnh, chải ngang) có thể dẫn đến mòn cổ chân răng, gây ê buốt và nhạy cảm. Trám răng bằng vật liệu composite sẽ giúp bảo vệ tủy răng và ngà răng bên trong.
- Răng thưa: Đối với những trường hợp răng thưa có kẽ hở nhỏ (không quá 2mm), đặc biệt là răng cửa, vật liệu trám cũng có thể được sử dụng để đóng kín kẽ hở, cải thiện thẩm mỹ cho nụ cười.
Tiến hành trám răng sớm là rất cần thiết khi răng bị sâu để ngăn ngừa tình trạng đau nhức và những biến chứng nghiêm trọng hơn. Ngoài ra, trám răng còn giúp ngăn ngừa sâu răng lan rộng, cải thiện chức năng ăn nhai và thẩm mỹ, đồng thời có chi phí hợp lý hơn so với các phương pháp phục hình răng khác.
Các yếu tố ảnh hưởng đến việc trám răng sâu có đau không?
Mức độ đau nhức khi trám răng phụ thuộc vào nhiều yếu tố:
Tình trạng tổn thương của răng
Nếu răng bị tổn thương nghiêm trọng, ăn sâu vào tủy, quá trình trám răng có thể gây đau nhức hơn. Tuy nhiên, mức độ đau thường nằm trong khả năng chịu đựng được và bác sĩ sẽ gây tê để giảm thiểu khó chịu.
Cơ địa từng người
Mức độ chịu đau của mỗi người là khác nhau. Với những người có cơ địa nhạy cảm, ngay cả những tác động nhẹ trong lúc trám răng cũng có thể gây khó chịu hơn so với người khác.
Vật liệu hàn trám
Chất lượng vật liệu trám răng đóng vai trò quan trọng. Vật liệu chất lượng tốt không chỉ đảm bảo độ bền của miếng trám mà còn giúp người bệnh cảm thấy thoải mái hơn trong suốt quá trình trám răng.
Cơ sở nha khoa thực hiện

Tay nghề của bác sĩ, trang thiết bị máy móc và công nghệ điều trị tại nha khoa cũng ảnh hưởng lớn đến việc trám răng có đau không. Bác sĩ giàu kinh nghiệm có khả năng kiểm soát và hạn chế tối đa cảm giác ê buốt, đồng thời tạo ra miếng trám bền chắc, đảm bảo cả thẩm mỹ và chức năng ăn nhai. Việc lựa chọn một địa chỉ nha khoa uy tín là rất quan trọng để đảm bảo chất lượng điều trị và giảm thiểu cảm giác đau đớn.
Bạn có thể tham khảo dịch vụ thăm khám, chẩn đoán và đưa ra phác đồ trám răng phù hợp với tình trạng răng tại Bệnh viện Đa khoa Sài Gòn Tam Kỳ. Đây là một cơ sở y tế chất lượng tại Quảng Nam và các khu vực lân cận, với đội ngũ y bác sĩ chuyên môn cao, tận tâm và không ngừng cập nhật các phương pháp điều trị hiện đại. Bệnh viện cũng đầu tư nâng cấp cơ sở vật chất, bổ sung thiết bị y khoa hiện đại từ Anh, Mỹ, Nhật Bản, đảm bảo quy trình khám chữa bệnh chính xác và an toàn.
Những lưu ý cần biết sau khi trám răng

Để quá trình hồi phục sau khi trám răng diễn ra nhanh chóng và thuận lợi, bạn cần lưu ý:
- Kiêng ăn uống trong 2 giờ đầu: Sau khi trám răng, bạn nên kiêng ăn uống khoảng 2 tiếng để miếng trám có thời gian đông và cố định. Sau đó, ưu tiên ăn các thực phẩm mềm, mịn, mát và ít tinh bột để răng thích nghi tốt hơn.
- Tránh tác động mạnh lên miếng trám: Hạn chế dùng vật nhọn như tăm hoặc ăn các thực phẩm quá cứng, quá dai để tránh làm bong, vỡ miếng trám.
- Hạn chế hoạt động mạnh: Trong những ngày đầu, tránh các hoạt động thể chất mạnh có thể ảnh hưởng đến răng và làm lệch hoặc bong miếng trám.
- Theo dõi tình trạng răng: Nếu có bất kỳ biểu hiện bất thường nào sau khi trám răng, hãy liên hệ ngay với bác sĩ để được kiểm tra và điều trị kịp thời.
- Chăm sóc răng miệng đúng cách: Duy trì chế độ vệ sinh răng miệng khoa học, chải răng nhẹ nhàng bằng bàn chải lông mềm.
- Tái khám định kỳ: Thực hiện tái khám răng theo lịch hẹn của nha khoa để kiểm tra miếng trám và sức khỏe răng miệng tổng thể.
Các câu hỏi thường gặp
Vì sao nên trám răng khi bị sâu?
Trám răng khi bị sâu là rất cần thiết vì:
- Ngăn chặn sâu răng lan rộng: Miếng trám bịt kín lỗ sâu, ngăn vi khuẩn tiếp tục tấn công và phá hủy cấu trúc răng.
- Giảm đau nhức: Khắc phục tình trạng ê buốt, đau nhức do sâu răng gây ra.
- Phục hồi chức năng ăn nhai: Giúp răng trở lại hình dáng và chức năng bình thường, cải thiện khả năng ăn nhai.
- Bảo vệ tủy răng: Ngăn ngừa sâu răng tiến triển đến tủy, tránh nguy cơ viêm tủy và phải điều trị tủy phức tạp hơn.
- Cải thiện thẩm mỹ: Khôi phục vẻ đẹp tự nhiên của răng, đặc biệt với những răng ở vị trí dễ nhìn thấy.
Miếng trám răng bị hỏng phải làm sao?
Khi miếng trám bị bong ra, bạn nên đi trám lại để đảm bảo chiếc răng hoàn chỉnh, thực hiện chức năng ăn nhai và thẩm mỹ bình thường. Nếu không khắc phục kịp thời, phần răng bị tổn thương có thể dễ bị vi khuẩn tấn công và gây bệnh.
Trong một số trường hợp răng bị tổn thương nghiêm trọng, gãy vỡ nhiều thì ngoài trám răng, bọc răng sứ cũng là một lựa chọn hiệu quả. Phương pháp này mang lại nhiều ưu điểm về độ bền và thẩm mỹ, giúp răng thực hiện chức năng ăn nhai tốt và bảo toàn nụ cười rạng rỡ.
Vì sao răng bị nhạy cảm sau khi trám răng?

Răng nhạy cảm sau khi trám là hiện tượng thường gặp và thường biến mất sau vài ngày đến vài tuần. Các lý do phổ biến dẫn đến tình trạng này bao gồm:
- Kích thích dây thần kinh: Miếng trám, đặc biệt là miếng trám sâu, có thể gần dây thần kinh, gây cảm giác khó chịu tạm thời. Dây thần kinh cần thời gian để lành lại.
- Căn chỉnh khớp cắn không chính xác: Nếu miếng trám quá cao so với các răng khác, có thể gây áp lực khi cắn, dẫn đến đau và ê buốt. Bác sĩ có thể mài bớt miếng trám để điều chỉnh khớp cắn.
- Làm sạch sâu răng không hoàn toàn hoặc điều trị viêm tủy răng không triệt để: Các vấn đề còn sót lại có thể gây nhạy cảm hơn cho răng.
- Ngà răng bị dịch chuyển: Áp lực nén của vật liệu trám có thể gây dịch chuyển ngà răng trong ống tủy.
- Biến chứng nghiêm trọng hơn: Trong trường hợp hiếm gặp, nhạy cảm kéo dài có thể là dấu hiệu của viêm tủy răng, áp xe răng hoặc viêm nha chu, cần thăm khám bác sĩ ngay lập tức.
Để giảm ê buốt tạm thời, bạn có thể sử dụng thuốc giảm đau không kê đơn, dùng bàn chải đánh răng lông mềm, tránh thực phẩm quá nóng/lạnh/ngọt/có tính axit và súc miệng bằng nước sau khi ăn thực phẩm có tính axit.
Xem thêm:
- Trám răng thưa thẩm mỹ có nên không? Ở đâu trám răng giá rẻ?
- Trám thẩm mỹ răng cửa có nên không? Giá bao nhiêu tiền?
- Trám răng xong bị nhức có bình thường không? Xử trí thế nào?
Trám răng là giải pháp hiệu quả và cần thiết để bảo vệ sức khỏe răng miệng, đặc biệt khi răng bị sâu hoặc tổn thương. Mặc dù có thể có cảm giác khó chịu nhẹ sau khi trám, nhưng nhìn chung quá trình này không gây đau đớn đáng kể nhờ kỹ thuật gây tê và tay nghề của bác sĩ. Điều quan trọng là bạn cần lựa chọn một địa chỉ nha khoa uy tín để đảm bảo quy trình an toàn và hiệu quả, cũng như tuân thủ các hướng dẫn chăm sóc sau trám để đạt được kết quả tốt nhất.
