Chụp X quang phổi là một phương pháp chẩn đoán hình ảnh phổ biến, giúp bác sĩ phát hiện sớm các bệnh lý liên quan đến phổi và đường hô hấp. Nhiều người băn khoăn không biết chụp X quang phổi bao nhiêu tiền và nên thực hiện ở đâu để đảm bảo chất lượng và chi phí hợp lý. Bài viết dưới đây của Docosan sẽ giúp bạn giải đáp những thắc mắc này một cách rõ ràng và chi tiết.
Tóm tắt nội dung
Chụp X quang phổi bao nhiêu tiền?

Chi phí chụp X quang phổi thường không cố định mà sẽ phụ thuộc vào nhiều yếu tố như: cơ sở y tế thực hiện, trang thiết bị máy móc, chất lượng phim ảnh và việc có sử dụng dịch vụ khám theo yêu cầu hay không.
Theo quy định của Bộ Y tế, mức giá tối thiểu cho một lần chụp X quang phổi là khoảng 95.000 đồng/lần. Tuy nhiên, tại các bệnh viện tư nhân hoặc trung tâm y tế hiện đại, giá dịch vụ có thể dao động từ 100.000 – 300.000 đồng/lần, thậm chí cao hơn nếu chụp kết hợp với các xét nghiệm khác hoặc chụp ở chế độ kỹ thuật số chất lượng cao.
Ở một số nước như Mỹ, mức chi phí cho một lần chụp X quang phổi có thể lên đến từ 54 đến 204 USD, trung bình khoảng 111 USD (gần 3 triệu đồng), chưa bao gồm phí khám bệnh hay xét nghiệm liên quan. Hiện nay ở nước ta, chụp X quang phổi không nằm trong danh mục được bảo hiểm y tế chi trả, trừ khi có chỉ định của bác sĩ trong quá trình khám chữa bệnh.
Tóm lại, chụp X quang phổi là một phương pháp kiểm tra với chi phí tương đối rẻ, dễ thực hiện và giúp phát hiện sớm nhiều bệnh lý nguy hiểm. Người bệnh nên tham khảo bảng giá cụ thể tại các bệnh viện uy tín trước khi thực hiện để có sự chuẩn bị tốt nhất.
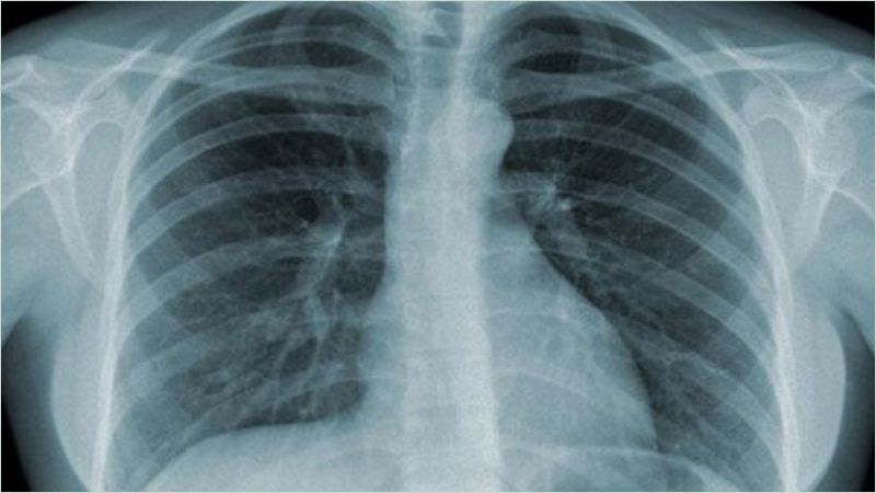
Hướng dẫn đọc kết quả chụp X quang phổi
Sau khi chụp X quang phổi, người bệnh sẽ nhận được một tấm phim hoặc bản ảnh kỹ thuật số kèm theo kết quả đọc từ bác sĩ. Dù không phải ai cũng có chuyên môn để hiểu hết các chi tiết trên phim chụp nhưng bạn vẫn có thể nhận biết một số đặc điểm cơ bản về tình trạng phổi của mình. Kết quả X quang phổi bình thường

Nếu hình ảnh X quang cho thấy phổi có kích thước và hình dáng bình thường, không có bóng mờ, không phát hiện khối bất thường, thì khả năng cao bạn không gặp vấn đề nghiêm trọng. Một số dấu hiệu cho thấy kết quả bình thường gồm:
- Phổi trong, không có đốm mờ hay khối u.
- Màng phổi đều, không dày lên hay bị tràn dịch.
- Tim và mạch máu có kích thước bình thường, không bị phì đại hay lệch vị trí.
- Khung xương sườn, xương ức, xương đòn không có dấu hiệu gãy hay biến dạng.
- Không thấy khí hoặc chất lỏng bất thường trong khoang màng phổi.
Kết quả X quang phổi bất thường

Khi kết quả không nằm trong các giới hạn bình thường, bác sĩ có thể nghi ngờ hoặc phát hiện các bệnh lý như:
- U phổi, chấn thương, phù phổi (thấy các bóng mờ bất thường hoặc hình ảnh tổn thương).
- Viêm phổi, lao phổi (có đám mờ lan tỏa, hình ảnh tổn thương mô phổi).
- Tràn dịch hoặc tràn khí màng phổi (thấy mức dịch hoặc khoảng đen bất thường).
- Gãy xương sườn, xương đòn (đường gãy rõ hoặc lệch xương).
- Hạch to, dị vật trong đường thở hoặc thực quản (hình ảnh bất thường chen giữa các cấu trúc).
Nếu bạn không rõ kết quả hoặc thấy có những ghi chú khiến mình lo lắng, hãy hỏi lại bác sĩ để được giải thích cụ thể và tư vấn hướng xử trí phù hợp.
Địa chỉ chụp X quang phổi uy tín

Khi có nhu cầu chụp X quang phổi để kiểm tra sức khỏe hoặc theo dõi điều trị, bạn nên ưu tiên lựa chọn các cơ sở y tế uy tín, có đầy đủ trang thiết bị hiện đại và đội ngũ bác sĩ giàu kinh nghiệm.
Việc này không chỉ giúp đảm bảo kết quả chính xác mà còn giúp bạn yên tâm hơn trong quá trình thăm khám. Một trong những địa chỉ được nhiều người tin tưởng hiện nay là Phòng khám Thuận Mỹ Sài Gòn.
Đây là phòng khám đa khoa chất lượng cao, được đầu tư đồng bộ về cơ sở vật chất với hệ thống máy móc chẩn đoán hình ảnh hiện đại, trong đó có cả dịch vụ chụp X quang phổi.
Đội ngũ y bác sĩ tại đây rất giàu kinh nghiệm, thân thiện và luôn sẵn sàng hỗ trợ bệnh nhân trong mọi tình huống. Ngoài ra, quy trình thăm khám tại Thuận Mỹ khá nhanh chóng, tiện lợi, giúp tiết kiệm thời gian cho người bệnh. Nếu bạn muốn lựa chọn các bệnh viện lớn có uy tín hàng đầu tại TP.HCM, bạn có thể tham khảo thêm một số địa chỉ sau:
- Bệnh viện Chợ Rẫy: Đây là bệnh viện tuyến cuối lớn nhất phía Nam, nổi bật với chuyên môn cao và trang thiết bị hiện đại.
- Bệnh viện Đại học Y Dược TP.HCM: Là nơi quy tụ nhiều bác sĩ đầu ngành, dịch vụ chuyên nghiệp, đặc biệt có thế mạnh về chẩn đoán hình ảnh.
- Bệnh viện Nhân dân Gia Định: Là một bệnh viện đa khoa lớn, phục vụ hàng nghìn lượt khám mỗi ngày, có dịch vụ chụp X quang chất lượng cao.
Tùy vào vị trí địa lý và nhu cầu cá nhân, bạn có thể lựa chọn cơ sở phù hợp để được thăm khám và chụp X quang phổi một cách hiệu quả, nhanh chóng.
Ưu điểm và hạn chế của chụp X quang phổi

Chụp X quang phổi là một kỹ thuật chẩn đoán hình ảnh phổ biến, được sử dụng rộng rãi trong y tế nhờ vào nhiều ưu điểm nổi bật:
- Quy trình thực hiện đơn giản, nhanh chóng: Người bệnh chỉ mất vài phút để hoàn tất việc chụp và nhận phim. Nhờ đó, không phải chờ đợi quá lâu, phù hợp cả với những người có lịch trình bận rộn.
- Không xâm lấn, không gây đau: Đây là phương pháp an toàn, không cần tiêm thuốc hay can thiệp vào cơ thể, nên bệnh nhân có thể yên tâm thực hiện.
- Chi phí hợp lý: So với nhiều phương pháp chẩn đoán khác, chụp X quang có mức giá tương đối thấp, phù hợp với đa số người dân. Đặc biệt, nếu khám đúng tuyến, phần lớn chi phí chụp sẽ được bảo hiểm y tế hỗ trợ.
- Hiệu quả trong việc phát hiện tổn thương lớn: Hình ảnh X quang không chỉ cho thấy rõ phổi mà còn thể hiện cấu trúc xương sườn, tim, mạch máu và đường thở, giúp bác sĩ dễ dàng quan sát và chẩn đoán.
Tuy nhiên, bên cạnh những ưu điểm đó, chụp X quang phổi vẫn còn một số hạn chế cần lưu ý:
- Không phát hiện được tổn thương nhỏ hoặc bệnh lý giai đoạn sớm: Những thay đổi tinh vi trong phổi thường không được thể hiện rõ trên phim chụp, dễ dẫn đến việc bỏ sót bệnh.
- Một số tổn thương có thể bị che khuất: Xương sườn, bóng tim hoặc các cấu trúc khác trong lồng ngực có thể làm mờ hoặc che mất các vùng bất thường.
- Khó quan sát các vị trí “khuất” như đỉnh phổi: Đây là những khu vực mà chụp X quang thường không cho hình ảnh rõ ràng, làm giảm độ chính xác trong chẩn đoán.
- Không thể đánh giá chi tiết đặc điểm bên trong tổn thương: Nếu cần xem xét kỹ hơn về tính chất tổn thương, bác sĩ sẽ phải chỉ định thêm các kỹ thuật khác như CT scan hoặc MRI.
- Không phù hợp với phụ nữ mang thai: Do có sử dụng tia X, kỹ thuật này có thể ảnh hưởng đến thai nhi nên thường không được khuyến khích trong thai kỳ.
Vì vậy, tuy chụp X quang phổi vẫn là một bước thăm khám hữu ích nhưng người bệnh cần tuân theo chỉ định và tư vấn từ bác sĩ để lựa chọn phương pháp phù hợp nhất với tình trạng sức khỏe của mình.
Quy trình chụp X quang phổi gồm các bước nào?

Nếu bạn đang chuẩn bị đi chụp X quang phổi, dưới đây là các bước cơ bản mà bạn sẽ trải qua:
- Thay trang phục chuyên dụng: Người bệnh sẽ được yêu cầu thay áo chuyên dùng để chụp X quang. Nữ giới cần tháo áo ngực và cởi bỏ các vật dụng kim loại như trang sức, kẹp tóc, đồng hồ,… để tránh ảnh hưởng đến hình ảnh.
- Thông báo thiết bị y tế trong cơ thể (nếu có): Nếu bạn đang sử dụng các thiết bị có kim loại như máy tạo nhịp tim, van tim nhân tạo hoặc ốc tai điện tử,… hãy thông báo cho bác sĩ trước khi chụp để có hướng xử lý phù hợp.
- Được hướng dẫn tư thế chụp: Tùy theo yêu cầu, kỹ thuật viên sẽ hướng dẫn bạn đứng, ngồi hoặc nằm đúng vị trí để đảm bảo chụp được hình ảnh rõ nét.
- Thực hiện thao tác chụp: Trong lúc chụp, bạn sẽ được yêu cầu nín thở trong vài giây và giữ yên người để tránh làm mờ ảnh.
- Kết thúc và chờ kết quả: Sau khi chụp xong, bạn thay lại trang phục như ban đầu và chờ bác sĩ đọc kết quả.
- Bác sĩ tư vấn thêm nếu cần: Trong trường hợp hình ảnh chưa đủ rõ để đưa ra chẩn đoán chính xác, bác sĩ có thể chỉ định thêm xét nghiệm hoặc phương pháp chẩn đoán hình ảnh khác.
Lưu ý khi chụp X quang phổi
Để quá trình chụp X quang phổi diễn ra an toàn, nhanh chóng và cho kết quả chính xác, bạn cần lưu ý một vài điều sau:
- Phụ nữ mang thai không nên chụp X quang để tránh ảnh hưởng đến thai nhi do tia bức xạ.
- Tháo bỏ toàn bộ vật dụng bằng kim loại trên người như dây chuyền, kính mắt, đồng hồ, khuy áo kim loại,… vì có thể làm nhiễu hình ảnh.
- Thông báo với bác sĩ nếu có tiền sử phẫu thuật liên quan đến các thiết bị y tế kim loại như máy tạo nhịp tim, van tim nhân tạo,… để được hướng dẫn phù hợp.
- Trước khi chụp, bạn sẽ cần cởi bỏ áo ngoài và áo trong, sau đó mặc áo chụp X quang do cơ sở y tế cung cấp.
Các câu hỏi thường gặp
Trường hợp nào cần chụp X quang phổi?

Chụp X quang phổi thường được chỉ định trong các trường hợp sau:
- Kiểm tra tình trạng tim và phổi khi khám sức khỏe định kỳ.
- Có triệu chứng như ho kéo dài, đau tức ngực, khó thở, thở rít.
- Nghi ngờ mắc các bệnh như viêm phổi, lao phổi, u phổi.
- Gặp chấn thương vùng ngực, nghi ngờ tràn khí, tràn dịch hoặc dập phổi.
- Người có bệnh nền hô hấp cần theo dõi tiến triển bệnh hoặc phát hiện sớm bất thường.
- Các trường hợp trên 50 tuổi, hút thuốc lâu năm thường được khuyến cáo chụp CT phổi thay vì X quang để tầm soát ung thư hiệu quả hơn.
Có phải nhịn ăn uống trước khi đi chụp X quang tim phổi không?
Hầu hết các trường hợp chụp X quang phổi không yêu cầu nhịn ăn. Tuy nhiên, nếu chụp X quang vùng bụng hoặc các xét nghiệm khác có yêu cầu, bệnh nhân cần nhịn ăn trước đó để có kết quả chính xác hơn.
Chụp X quang phổi nhiều lần có ảnh hưởng gì không?
Chụp X quang phổi nhiều lần có thể ảnh hưởng đến sức khỏe nếu tần suất và cường độ tia X quá cao, như gây bỏng, rụng tóc, hoặc thậm chí nguy hiểm đến tính mạng. Tuy nhiên, nếu chụp X quang với tần suất hợp lý (5-7 lần/năm) và giữa các lần chụp có khoảng cách thích hợp thì sẽ không gây hại cho cơ thể. Trong trường hợp cần chụp nhiều lần trong một tuần, bệnh nhân phải tuân theo chỉ định của bác sĩ. Hiện nay, Bộ Y tế đã quy định các tiêu chuẩn an toàn về thiết bị và quy trình chụp, nhằm giảm thiểu rủi ro và đảm bảo kết quả chụp chất lượng cho người bệnh.
Chụp X quang phổi có phát hiện ung thư phổi không?
Chụp X quang phổi có thể giúp phát hiện những dấu hiệu bất thường liên quan đến ung thư phổi như ung thư phổi nguyên phát, ung thư phổi di căn thể thả bóng hay thể kê. Tuy nhiên, chụp X quang chỉ có thể gợi ý các dấu hiệu của ung thư, không phải là phương pháp chẩn đoán chính xác. Để xác định ung thư phổi, bác sĩ thường sẽ chỉ định thêm các xét nghiệm và kỹ thuật khác như chụp CT hoặc sinh thiết. Chụp X quang phổi là phương pháp đơn giản, nhanh chóng và hữu ích trong việc phát hiện sớm các bệnh lý liên quan đến tim phổi. Tuy nhiên, bạn nên thực hiện tại các cơ sở y tế uy tín và theo chỉ định của bác sĩ để đảm bảo an toàn và hiệu quả. Đừng quên lưu lại bài viết để tham khảo khi cần và chia sẻ cho người thân cùng biết nhé! Xem thêm:
