Giãn phế quản: Nguyên nhân, triệu chứng và cách điều trị
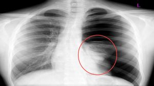
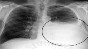
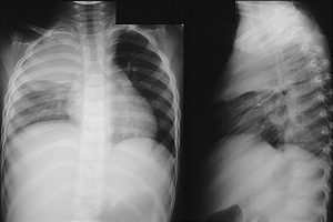
Giãn phế quản là một bệnh lý thuộc chuyên khoa hô hấp. Bệnh gây tổn thương trực tiếp đến phế quản, đường dẫn khí trong phổi, có thể dẫn tới nhiều biến chứng đáng lo ngại. Hãy cùng Docosan tìm hiểu về triệu chứng và các cách điều trị giãn phế quản trong y học […]
