Bệnh giãn tĩnh mạch thừng tinh 2 bên: Triệu chứng, điều trị
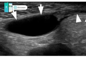
Bệnh lý giãn tĩnh mạch thừng tinh 2 bên xảy ra khi có sự giãn rộng các tĩnh mạch nằm ở trong bìu. Bệnh có thể ảnh hưởng đến sự sản xuất tinh trùng của tinh hoàn, suy giảm chất lượng tinh trùng. Hãy cùng Docosan tìm hiểu bệnh giãn tĩnh mạch tinh 2 bên nhé! […]
