Một số điều bạn cần biết về bệnh viêm sưng lợi có mủ
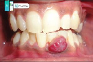
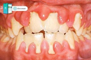
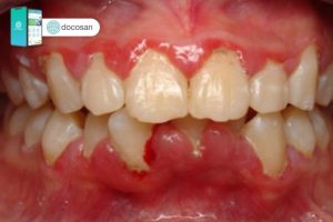
Một trong những bệnh lý thường gặp về răng miệng đó là sưng lợi có mủ (viêm nướu răng mủ). Vậy lợi sưng có mủ là gì? Người bị sâu răng sưng lợi có mủ nghiêm trọng hơn hay không? Hãy cùng Doctor có sẵn tìm hiểu trong bài viết dưới đây! Tổng quan về […]
