Top 4 cách chữa viêm lợi tại nhà nhanh nhất, an toàn nhất
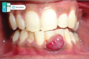
Viêm lợi là giai đoạn sớm nhất của bệnh nướu răng, tình trạng kéo dài có thể dẫn đến mất răng. Tuy nhiên, bạn hoàn toàn có thể chữa viêm lợi tại nhà một cách nhanh chóng và dễ dàng. Nhưng, biện pháp điều trị tại nhà nào hiệu quả nhất? Hãy cùng Doctor có […]
