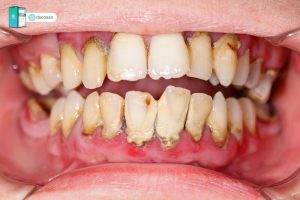
Sưng nướu: Nguyên nhân và cách xử lý đơn giản
Sưng nướu có thể gây có thể gây nên tình trạng khó chịu, đau đơn đôi khi ảnh hưởng nghiêm trọng đến sức khỏe của người bệnh. Tuy nhiên sưng nướu có thể đươc điều trị một cách dễ dàng nếu như người bệnh đến bác sĩ từ sớm, khi đó việc cải thiện tình […]
